Selain gigi berlubang, kebanyakan orang juga berisiko mengalami masalah yang disebut erosi gigi. Kondisi ini dapat memicu rasa sakit dan membuat gigi jadi lebih sensitif.
Apa saja yang menjadi penyebabnya dan bagaimana cara mengatasi masalah gigi ini? Simak jawabannya dalam uraian berikut.
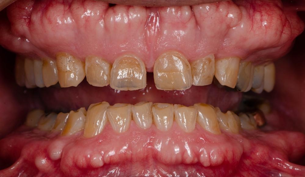
Apa itu erosi gigi?
Dental erosion atau erosi gigi adalah kondisi yang terjadi ketika lapisan enamel gigi terkikis. Terkikisnya enamel gigi disebabkan oleh paparan asam dari makanan, minuman, atau asam lambung.
Enamel gigi merupakan bagian dari struktur gigi berupa lapisan keras yang melindungi dentin. Saat dentin terekspos, kondisi tersebut membuat gigi terasa nyeri dan lebih sensitif.
Umumnya, erosi gigi tidak memerlukan penanganan medis. Namun apabila muncul gejala lain, seperti gigi sensitif atau ngilu, Anda sebaiknya segera berkonsultasi dengan dokter gigi.
Tanda dan gejala erosi gigi

Gejala erosi gigi yang paling umum yaitu perubahan tampilan permukaan gigi. Jika dilihat, permukaan gigi akan tampak lebih halus dan berkilau.
Selain itu, ada sejumlah kondisi lain yang juga menjadi tanda dental erosion. Berikut beberapa di antaranya.
- Perubahan warna gigi menjadi lebih kuning akibat tereksposnya lapisan dentin.
- Bagian tepi gigi akan menjadi lebih keras dan memiliki pola yang tidak beraturan.
- Gigi menjadi sensitif, terutama saat mengonsumsi makanan atau minuman manis, panas, dan dingin.
Kondisi di atas tidak selalu disebabkan oleh erosi gigi. Jika Anda mengalaminya, konsultasikan ke dokter gigi untuk mencari tahu kondisi yang menyebabkannya.
Penyebab erosi gigi
Erosi gigi disebabkan oleh zat asam yang ada pada makanan dan minuman. Senyawa tersebut dapat membuat lapisan enamel menjadi lebih lunak dan kehilangan sebagian mineralnya.
Kelenjar liur memang mampu memproduksi ludah untuk menetralkan asam dalam mulut. Namun, apabila Anda terus mengonsumsi makanan dan minuman asam, masalah gigi ini menjadi tidak terhindarkan.
Peningkatan asam dalam mulut juga bisa disebabkan penyakit tertentu, salah satunya penyakit refluks asam lambung (GERD). Saat asam lambung naik, cairan tersebut bisa membuat enamel gigi terkikis
Faktor risiko pengikisan gigi
Berbagai macam faktor dapat meningkatkan jumlah asam dalam mulut sehingga risiko terjadinya erosi gigi pun meningkat.
Berikut sejumlah faktor penyebab erosi gigi yang perlu diwaspadai.
- Konsumsi minuman dengan kadar fosfor dan asam sitrat tinggi.
- Terlalu sering minum minuman dengan kandungan asam, seperti sari lemon.
- Terlalu banyak mengonsumsi makanan tinggi gula dan pati.
- Produksi air liur yang sedikit dan mulut kering (xerostomia).
- Menderita gangguan pencernaan atau penyakit asam lambung.
- Efek obat-obatan, seperti aspirin dan antihistamin.
- Kondisi genetik dan turunan.
- Stres yang menyebabkan berkurangnya produksi air liur.
Komplikasi pengikisan gigi
Dental erosion membuat Anda rentan mengalami karies atau gigi berlubang. Jika yang muncul hanya lubang kecil, kondisi tersebut mungkin tidak akan menyebabkan masalah berarti.
Namun, ketika lubang pada gigi berkembang dan mengalami infeksi, Anda berisiko mengalami pembentukan kantong nanah pada gigi (abses gigi).
Kondisi ini dapat menyebabkan komplikasi yang lebih serius, seperti:
- penyebaran infeksi hingga wajah dan leher,
- peradangan pada lapisan bagian dalam jantung, dan
- radang selaput otak atau meningitis.
Maka dari itu, tidak ada salahnya untuk segera memeriksakan diri ke dokter gigi saat Anda merasakan suatu gejala. Dengan begitu, kerusakan pada gigi bisa ditangani sedini mungkin.
Cara mengobati erosi gigi

Masalah terkait gigi yang terkikis bisa ditangani dengan perawatan rumahan dan tindakan medis. Umumnya, tindakan medis baru dilakukan ketika keluhan seperti sakit gigi atau gigi sensitif sudah parah.
Untuk mengatasinya, dokter biasanya akan merekomendasikan veneer. Prosedur ini dapat melindungi gigi dari kerusakan lanjutan.
Pemasangan veneer bertujuan untuk melapisi bagian depan gigi menggunakan cangkang buatan berbahan porselen. Dengan begitu, gigi yang sebelumnya terkikis kembali terlindungi.
Sementara itu, berikut beberapa perawatan rumahan bisa Anda coba untuk meringankan rasa sakit pada gigi.
- Berkumur dengan air hangat untuk mengeluarkan sisa makanan yang tersangkut pada lubang atau sela gigi.
- Melakukan flossing untuk mengangkat makanan yang tersangkut pada sela gigi.
- Minum obat pereda nyeri sesuai rekomendasi dokter.
Perlu diingat, perawatan rumahan hanya bertujuan untuk meredakan nyeri gigi, bukan mengobati erosi gigi. Segera konsultasikan ke dokter jika rasa nyeri tidak kunjung hilang.
Cara mencegah pengikisan gigi
Menurut Oral Health Foundation, berikut beberapa tindakan yang bisa dilakukan untuk melindungi enamel gigi dari kerusakan.
- Hanya mengonsumsi makanan dan minuman asam ketika waktunya makan. Hal ini dapat mengurangi jumlah reaksi asam pada gigi.
- Minum dengan cepat dengan tanpa menahan minuman pada mulut atau “berkumur”.
- Gunakan sedotan untuk membantu mengantarkan minuman langsung ke belakang mulut. Ini dapat mengurangi durasi kontak dengan gigi.
- Mengonsumsi keju atau susu setelah makan untuk menetralkan asam.
- Mengunyah permen karet bebas gula setelah makan untuk menambah produksi air liur. Air liur akan membilas asam yang terbentuk pada mulut setelah makan.
- Menunggu setidaknya satu jam setelah mengonsumsi makanan atau minuman asam sebelum menyikat gigi. Hal ini dapat memberi waktu bagi gigi untuk membangun kandungan mineralnya kembali.
- Menyikat gigi dengan benar dan rutin dua kali sehari dengan menggunakan pasta gigi ber-fluoride. Sebaiknya gunakan tipe sikat gigi dengan kepala yang kecil dan bulu sedang ke halus.
- Tidak buru-buru membilas pasta gigi setelah menyikat gigi. Hal ini dimaksudkan agar kandungan fluoride dapat bertahan lebih lama pada gigi.
Tindakan di atas tidak selalu melindungi Anda dari dental erosion. Meski begitu, risikonya dapat dikurangi dengan menerapkan upaya pencegahan yang telah disebutkan.
Selain itu, jangan lupa untuk melakukan pemeriksaan rutin ke dokter gigi setidaknya enam bulan sekali. Dengan begitu, masalah pada gigi bisa dideteksi dan ditangani sesegera mungkin.
Yang perlu Anda perhatikan terkait erosi gigi
- Erosi gigi terjadi akibat jumlah asam berlebihan dalam mulut.
- Erosi gigi tidak perlu mendapatkan penanganan medis jika kondisinya tidak parah.
- Erosi gigi parah dapat menimbulkan lubang yang menjadi jalan infeksi penyebab abses gigi.
- Erosi gigi bisa dicegah lewat tindakan sederhana seperti tidak mengonsumsi asam secara berlebihan, menyikat gigi dengan benar, hingga melakukan pemeriksaan rutin ke dokter gigi.