Fraktur atau patah tulang adalah kondisi ketika tulang menjadi retak, patah, atau pecah. Tulang yang patah ini dapat terjadi di bagian tubuh manapun, termasuk area tangan. Adapun cakupan tangan yang dimaksud termasuk patah tulang pada jari, pergelangan tangan, siku, hingga lengan bagian atas (fraktur humerus). Untuk lebih mengenal kondisi tersebut, berikut informasi lengkap mengenai gejala, penyebab, dan pengobatan fraktur pada area tangan.
Apa itu patah tulang tangan?
Patah tulang tangan, termasuk lengan dan siku, adalah kondisi ketika satu atau lebih tulang di area tersebut menjadi patah. Di area tulang ini, jenis fraktur yang terjadi bisa beragam. Tulang yang merupakan bagian dari sistem gerak, mungkin hanya mengalami keretakan atau patah menjadi beberapa bagian.
Potongan tulang pun mungkin masih sejajar atau bergeser jauh dari posisi normalnya. Pada kasus yang parah, patahan tulang dapat menembus kulit hingga menimbulkan perdarahan (fraktur terbuka). Adapun kondisi ini membutuhkan perawatan medis darurat karena berisiko menimbulkan infeksi.
Jenis-jenis patah tulang di area tangan
Struktur tulang di sepanjang tangan dan lengan manusia terdiri dari beberapa bagian. Berikut adalah jenis patah tulang di area tangan berdasarkan bagian atau lokasi spesifiknya:
-
Patah tulang tangan
Tulang tangan manusia terdiri dari tulang kecil di jari atau disebut tulang falang, dan tulang panjang di telapak tangan atau disebut metakarpal. Terdapat dua tulang falang di ibu jari dan tiga tulang falang di keempat jari lainnya. Adapun tulang metakarpal memiliki lima ruas yang masing-masing terhubung dengan jari di atasnya.
Di antara tulang-tulang tersebut, tulang metakarpal kelima, yaitu tulang di telapak tangan yang dekat dengan jari kelingking, paling sering mengalami fraktur. Kondisi ini disebut juga dengan fraktur boxer atau petinju. Pasalnya, dilansir dari OrthoInfo, kondisi ini sering terjadi ketika seseorang meninju permukaan yang keras dengan kepalan tangan.
-
Patah pergelangan tangan
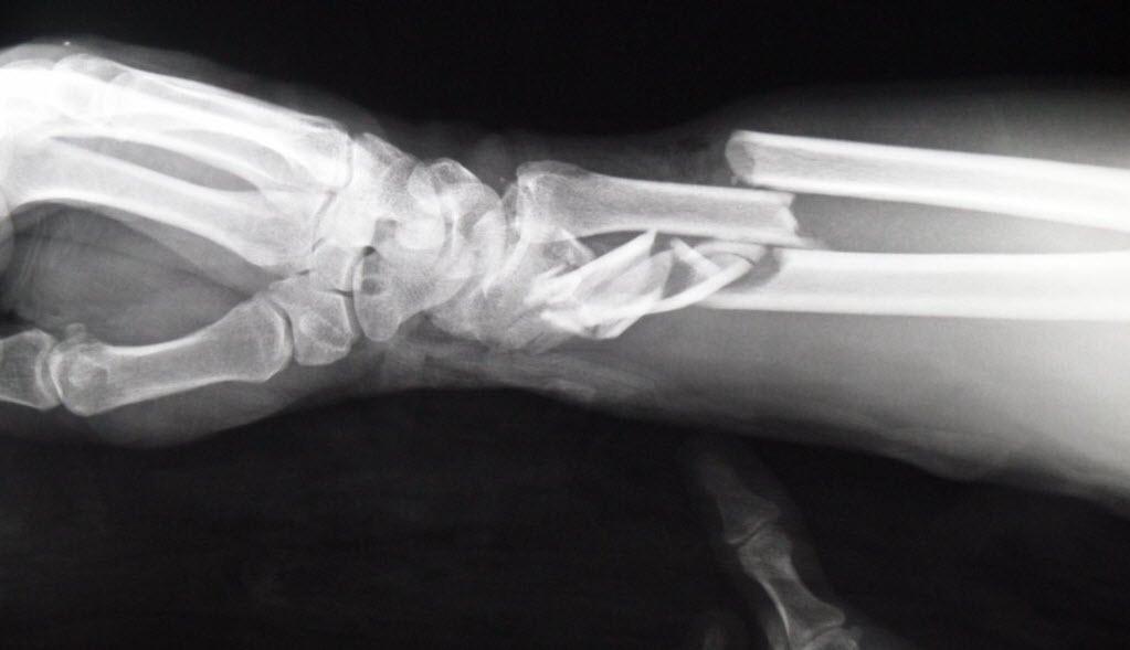
Patah tulang pergelangan tangan adalah kondisi ketika tulang di area tersebut menjadi patah. Bagian tulang yang dimaksud, yaitu tulang karpal serta ujung dua tulang di lengan bawah, yaitu radius dan ulna, yang berdekatan dengan pergelangan tangan.
Patah pada ujung radius dan ulna yang berdekatan dengan pergelangan tangan ini disebut juga dengan fraktur radius distal dan fraktur ulna distal. Adapun fraktur radius distal merupakan jenis patah pergelangan tangan yang paling sering terjadi.
-
Patah tulang lengan bawah
Tulang lengan bawah manusia terdiri dari dua tulang, yaitu radius dan ulna. Patah tulang di area ini bisa terjadi di ujung bawah tulang dekat pergelangan tangan (sering disebut patah pergelangan tangan), di tengah tulang, atau di ujung atas dekat dengan siku.
Umumnya, patah di area lengan akan terjadi di kedua tulang tersebut, yaitu radius dan ulna. Namun, patah juga bisa terjadi di salah satu tulang lengan bawah saja, yang umumnya adalah ulna, karena pukulan atau benturan langsung ke area tulang tersebut saat lengan diangkat untuk pertahanan diri.
-
Patah tulang pada siku tangan
Patah tulang pada siku tangan adalah kondisi ketika satu atau lebih tulang yang membentuk siku mengalami patah atau fraktur. Di bagian ini, tulang terdiri dari tulang humerus (lengan atas) bagian bawah dekat siku, tulang radius bagian atas, dan tulang olecranon (ujung atas tulang ulna).
Tulang olecranon merupakan tulang yang menonjol di bagian siku dan dapat dengan mudah dirasakan di bawah kulit karena hanya ditutupi oleh selapis jaringan yang tipis.
-
Patah tulang lengan atas
Patah tulang lengan atas, yaitu patah yang terjadi di tulang panjang yang membentang dari bahu dan skapula (tulang belikat) ke siku. Jenis tulang ini disebut juga dengan humerus. Fraktur humerus dapat terjadi di bagian tulang lengan atas dekat sendi bahu atau di bagian tengahnya.
Gejala patah tulang tangan dan lengan

Gejala patah tulang, baik di tangan, pergelangan tangan, lengan (atas dan bawah), maupun pada siku, bisa berbeda pada setiap pasien. Namun, tanda-tanda dan gejala yang umum terjadi, yaitu:
- Nyeri hebat di sekitar tulang yang patah, yang umumnya memburuk saat menggenggam, meremas, atau menggerakkan tangan atau lengan.
- Bengkak, memar, atau terasa lembut di sekitar tulang yang patah.
- Kelainan bentuk tulang yang terlihat di sekitar lokasi cedera, seperti jari yang bengkok, lengan yang tertekuk, atau area yang menonjol di sekitar siku .
- Terasa kaku atau ketidakmampuan untuk menggerakkan jari, pergelangan tangan, bahu, atau memutar lengan.
- Mati rasa di tangan, jari, atau lengan.
Pada kondisi yang parah, patah tangan dapat menyebabkan perdarahan. Hal ini umumnya terjadi bila tulang yang patah menembus kulit atau tergolong dalam fraktur terbuka.
Beragam kemungkinan penyebab patah tulang tangan dan lengan
Penyebab patah tulang yang umum pada tangan, lengan atas dan bawah, serta siku, adalah cedera atau trauma akibat benturan atau pukulan langsung ke arah bagian tulang tersebut. Selain pukulan langsung, beberapa penyebab fraktur yang umum di bagian humerus, radius, ulna, dan jenis patah tulang di tangan lainnya, yaitu:
- Jatuh dengan posisi tangan atau lengan terulur.
- Cedera olahraga, seperti terkena pukulan langsung ke arah tangan atau lengan.
- Kecelakaan saat berkendara, seperti motor, mobil, atau sepeda.
Selain penyebab yang umum, fraktur pada pergelangan tangan juga bisa terjadi karena kondisi tulang yang sudah rapuh (osteoporosis). Kondisi ini umumnya dialami oleh lansia dan seringkali mengalami fraktur radius distal karena jatuh dari posisi berdiri.
Adapun penyebab patah tulang lengan, baik atas maupun bawah, pada anak-anak bisa terjadi karena kasus pelecehan atau penganiayaan terhadap anak.
Faktor yang meningkatkan risiko
Selain penyebab di atas, beberapa faktor juga disebut meningkatkan risiko seseorang terkena fraktur di tangan dan lengan. Faktor-faktor risiko tersebut, yaitu:
- Memiliki penyakit atau kelainan tertentu yang melemahkan tulang.
- Seorang atlet atau yang melakukan olahraga kontak dan meningkatkan risiko terjatuh, seperti sepak bola, rugby, hoki, tinju, dan sebagainya.
- Merokok.
- Kekurangan kalsium dan vitamin D.
Cara mendiagnosis patah tulang tangan dan lengan
Untuk mendiagnosis patah di tangan, dokter akan menanyakan bagaimana cedera terjadi serta apa saja gejala yang Anda rasakan. Kemudian, dokter akan melakukan pemeriksaan fisik untuk melihat tanda-tanda fraktur di area tangan, lengan, atau siku Anda.
Bila dicurigai mengalami patah tulang, dokter akan meminta Anda untuk melakukan tes pencitraan guna memastikan diagnosisnya. Beberapa tes pencitraan tersebut, yaitu:
- Sinar-X, untuk memperoleh gambar struktur tulang dan mengidentifikasi tulang yang patah.
- Tes CT scan, untuk mengidentifikasi cedera pada jaringan lunak dan pembuluh darah di sekitar tulang yang tidak dapat diperoleh oleh sinar-X.
- Tes Magnetic resonance imaging (MRI), untuk menghasilkan gambar rinci tulang dan jaringan lunak, yang tidak didapat oleh sinar-X.
Pengobatan untuk patah tulang tangan dan lengan
Banyak pilihan pengobatan yang bisa digunakan untuk mengatasi patah tulang tangan dan lengan. Jenis pengobatan yang akan dipilih tergantung pada banyak faktor, seperti jenis fraktur, usia dan aktivitas harian pasien, serta preferensi pasien dan ahli bedah. Namun, secara umum, pengobatan patah tulang tangan, pergelangan tangan, lengan (atas dan bawah), serta pada siku, adalah:
-
Penggunaan gips atau belat

Pemasangan gips atau belat merupakan pengobatan paling umum untuk fraktur, termasuk di area tangan. Gips atau belat berfungsi untuk mengurangi pergerakan serta menjaga tulang yang patah tetap berada di posisi yang tepat selama proses penyembuhan.
Umumnya, gips atau belat digunakan pada patah tulang tangan, pergelangan tangan, lengan, dan siku, yang tidak bergeser atau hanya sedikit bergeser. Namun, pada patah tulang di jari, belat lebih sering digunakan.
Saat pemasangan belat, jari yang patah biasanya diikat dengan jari yang tidak terluka di dekatnya, untuk menopang jari yang cedera. Setelah belat atau gips terpasang, Anda mungkin membutuhkan sling atau gendongan lengan sebagai penyangga tangan yang patah tersebut.
Sebelum gips atau belat dipasang, dokter akan memastikan terlebih dahulu bahwa tulang yang patah sudah berada di posisi sejajar atau normal. Bila belum, dokter akan mensejajarkan kembali tulang. Pada beberapa kondisi, Anda mungkin memerlukan obat penenang atau bius lokal saat dokter mensejajarkan tulang Anda.
-
Obat-obatan
Anda akan diresepkan beberapa obat untuk membantu mengatasi rasa nyeri akibat patah tulang di area tangan dan lengan Anda. Dokter mungkin akan merekomendasikan beberapa obat pereda nyeri yang dijual bebas. Namun, jika rasa nyeri terasa parah, Anda mungkin memerlukan obat opioid, seperti kodein.
Selain itu, obat antiinflamasi nonsteroid (NSAID) pun akan diberikan untuk membantu mengatasi rasa nyeri dan peradangan. Namun, obat ini juga bisa menghambat pemulihan patah tangan Anda, terutama jika digunakan dalam jangka panjang. Oleh karena itu, tanyakan kepada dokter apakah Anda membutuhkan obat ini.
Adapun jika Anda memiliki fraktur terbuka, Anda mungkin akan diberi antibiotik untuk mencegah infeksi.
-
Operasi
Jika fraktur sangat serius, Anda mungkin memerlukan operasi patah tulang tangan untuk meletakkan perangkat fiksasi internal, seperti pelat, batang, atau sekrup, guna mempertahankan posisi tulang yang tepat selama penyembuhan.
Operasi ini mungkin diperlukan jika Anda memiliki fraktur di tangan atau lengan dengan kriteria sebagai berikut:
- Terdapat fraktur terbuka.
- Fragmen tulang lepas yang bisa mengenai sendi.
- Kerusakan pada ligamen, saraf, atau pembuluh darah di sekitarnya.
- Fraktur yang meluas hingga ke sendi.
- Sedang menggunakan gips atau belat, tetapi potongan tulang bergerak sebelum sembuh.
Pada patah tulang tangan, pergelangan tangan, dan siku, operasi cangkok tulang mungkin diperlukan untuk membantu proses penyembuhan. Selain itu, alat fiksasi yang dipasang secara eksternal pun dimungkinkan pada jenis fraktur pergelangan tangan, yang umumnya hanya sementara hingga prosedur lain dapat dilakukan.
-
Terapi
Terapi fisik atau rehabilitasi sangat dibutuhkan oleh pasien fraktur tangan dan lengan. Pada pada patah tulang lengan atas (fraktur humerus) dan lengan bawah (radius dan ulna), serta siku, terapi fisik umumnya dimulai begitu gips, belat, atau sling terpasang.
Hal ini untuk mengurangi kekakuan di area tangan, termasuk lengan, jari, dan bahu selama proses penyembuhan. Begitu gips, belat, atau sling dilepas, dokter akan merekomendasikan terapi fisik tambahan untuk memperkuat otot, meningkatkan rentang gerak, serta mengembalikan kelenturan sendi.
Sementara pada patah tangan dan pergelangan tangan, terapi fisik atau rehabilitasi umumnya dilakukan setelah gips atau belat dilepas. Hal ini sekaligus untuk membantu mengurangi kekakuan serta mengembalikan kekuatan otot dan kelenturan sendi.
Berapa lama proses penyembuhan patah tulang tangan?

Sebenarnya, tulang yang patah dapat tumbuh dan menyatu kembali dengan sendirinya. Namun, pengobatan secara medis tetap diperlukan untuk membantu tulang tumbuh di posisi yang tepat dan terhindar dari komplikasi.
Lamanya penggunaan alat atau prosedur pengobatan lainnya tergantung pada proses penyembuhan itu sendiri. Adapun proses penyembuhan ini bisa beragam pada setiap orang, tergantung pada tingkat keparahannya.
Namun, secara umum, lamanya proses penyembuhan patah tulang tangan bisa mencapai 3-6 minggu atau lebih. Setelah rentang waktu tersebut, gips Anda mungkin akan dibuka, tetapi aktivitas Anda akan tetap dibatasi selama 2-3 bulan hingga tulang benar-benar pulih.
Untuk mempercepat penyembuhan, sebaiknya Anda berhati-hati saat beraktivitas. Anda pun perlu menghindari hal-hal yang memperlambat penyembuhan, seperti merokok. Jangan lupa untuk memenuhi kebutuhan nutrisi dengan mengonsumsi makanan untuk patah tulang tangan yang direkomendasikan.
[embed-health-tool-bmi]























