Barium swallow adalah tes pencitraan untuk memeriksa masalah pada saluran pencernaan bagian atas. Tes ini menggunakan jenis sinar X khusus yang disebut fluoroskopi yang dapat menunjukkan organ dalam bergerak secara real time.
Apa itu barium swallow?
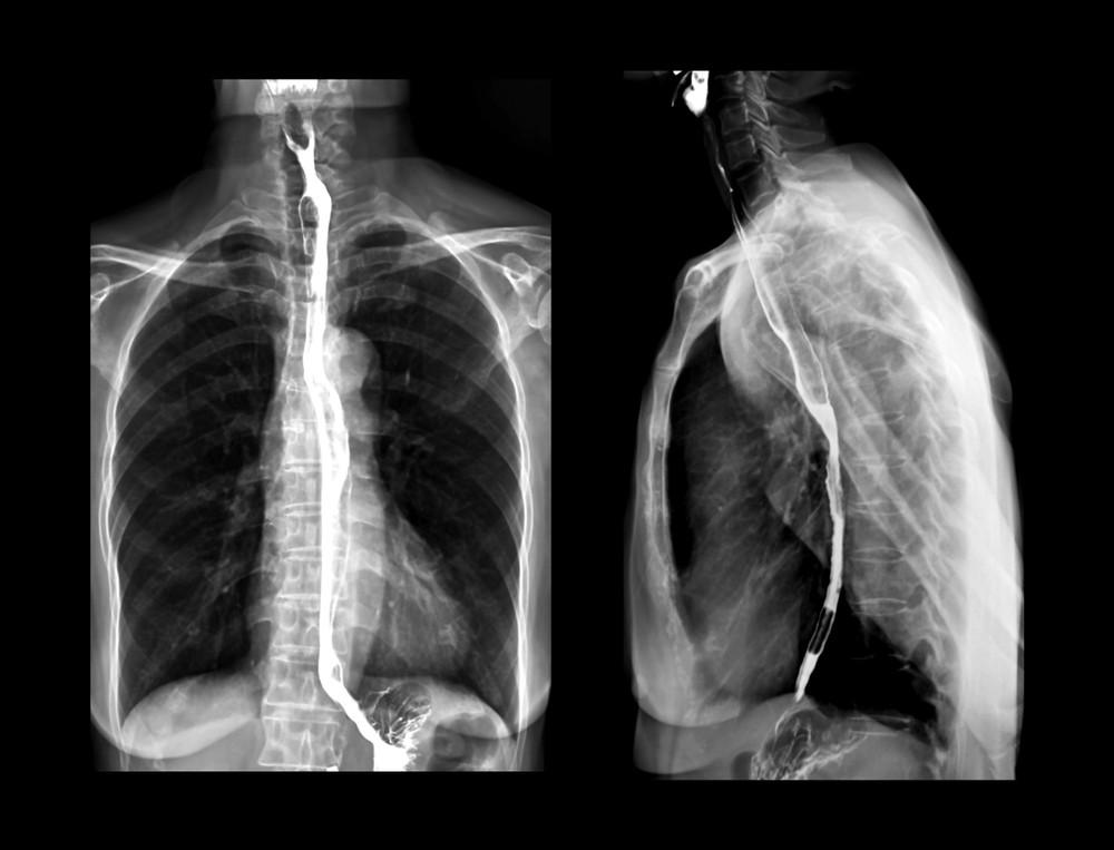
Barium swallow atau tes fluoroskopi adalah pemeriksaan rontgen khusus untuk mengetahui kondisi saluran pencernaan atas. Saluran ini terdiri atas mulut, faring (bagian belakang tenggorokan), kerongkongan, lambung, dan duodenum (bagian pertama dari usus halus).
Barium merupakan cairan berwarna putih yang digunakan dalam pemeriksaan ini. Saat melewati saluran pencernaan, barium akan melapisi kerongkongan, lambung, atau usus sehingga organ-organ ini dapat terlihat pada pemeriksaan rontgen.
Dokter kemungkinan menyarankan pemeriksaan barium swallow kepada pasien yang mengalami kesulitan menelan. Selain itu, pasien yang menunjukkan gejala gangguan pencernaan dapat menjalaninya.
Kadang, dokter melakukan barium swallow sebagai bagian dari rangkaian tes radiografi untuk mengetahui kondisi saluran pencernaan atas pasien. Dokter mungkin juga akan melakukan tes fluoroskopi untuk mempelajari gerak saluran pencernaan Anda.
Siapa yang membutuhkan?
Rangkaian tes untuk saluran pencernaan atas terkadang juga disertai oleh endoskopi. Endoskopi merupakan pemeriksaan pada bagian dalam tubuh dengan menggunakan tabung lentur yang memiliki kamera pada bagian ujungnya.
Dokter umumnya merekomendasikan pemeriksaan ini kepada pasien yang mengalami:
- kesulitan menelan, makan, atau minum,
- nyeri pada ulu hati (heartburn) yang menyakitkan atau sering muncul, dan
- refluks asam lambung (naiknya asam lambung ke kerongkongan).
Apabila berbagai gejala di atas berkaitan dengan suatu gangguan pencernaan, barium swallow bisa membantu dokter dalam mendiagnosisnya.
Selain itu, tes fluoroskopi bertujuan sebagai berikut.
- Mencari tahu penyebab gangguan pencernaan terkait.
- Melihat adanya penyempitan pada saluran pencernaan atas, tukak lambung dan usus, tumor, polip, dan sebagainya.
- Mendeteksi peradangan pada usus, sindrom malabsorbsi, atau kelainan pada gerakan usus dalam memindahkan makanan.
- Mendeteksi objek yang tertelan.
Fungsi pemeriksaan barium swallow

Fungsi barium swallow untuk membantu mendiagnosis berbagai kondisi seperti penyakit berikut ini.
- Hernia hiatus, suatu kondisi di mana bagian perut Anda terdorong ke dalam diafragma, yaitu otot antara perut dan dada.
- GERD (gastroesophageal reflux disease), suatu kondisi ketika asam lambung naik ke kerongkongan.
- Masalah struktural pada saluran pencernaan, seperti polip (pertumbuhan abnormal) dan divertikula (kantong di dinding usus).
- Tumor.
Proses pemeriksaan barium swallow

Sebelum pemeriksaan dilakukan, beritahu dokter mengenai pola makan dan obat-obatan yang Anda konsumsi secara rutin. Jangan mengganti obat-obatan tanpa berkonsultasi terlebih dulu.
Agar hasil pemeriksaan terlihat dengan jelas, Anda perlu menghindari makan, minum, dan konsumsi permen selama enam jam sebelum sebelum prosedur dimulai.
Namun, Anda mungkin boleh meminum sedikit air sebelum menjalani pemeriksaan.
Dikutip dari Medlineplus, selama pemeriksaan, tenaga kesehatan akan mengarahkan Anda ke teknisi radiologi (radiolog) yang melakukan rontgen.
Setelah Anda mengganti pakaian dengan gaun medis, radiolog akan meminta Anda untuk berbaring di atas meja periksa dan melakukan pemeriksaan rontgen.
Setelah itu, radiolog akan memberikan Anda cairan barium untuk ditelan. Biasanya barium sudah diberi rasa cokelat atau stroberi agar lebih mudah ditelan. Anda akan diminta menelan cairan tersebut sedikit demi sedikit sesuai arahan.
Radiolog kemudian melanjutkan rontgen atau fluoroskopi untuk melihat pergerakan barium dalam tubuh Anda.
Radiolog mungkin akan memiringkan meja dan meminta Anda mengubah posisi untuk melihat bagian tertentu pada saluran pencernaan Anda. Anda juga akan diminta untuk batuk guna mempermudah radiolog dalam melihat perubahan aliran barium.
Seluruh pemeriksaan barium swallow berlangsung selama 30 – 40 menit. Apabila dokter menyarankan pemeriksaan tambahan pada usus, prosedur ini mungkin menghabiskan 2 – 6 jam. Pada kasus tertentu, pasien mungkin perlu mengulang pemeriksaan.
Hasil pemeriksaan barium swallow
Hasil tes dikatakan normal bila kondisi kerongkongan, lambung, dan usus halus terlihat normal. Barium juga dapat mengalir dengan lancar dan tidak ada penyumbatan pada saluran pencernaan.
Sebaliknya, hasil tes tergolong abnormal jika terdapat:
- penyempitan, radang, gumpalan, atau pelebaran pada pembuluh
- hernia hiatal,
- aliran balik barium dari lambung,
- tukak pada lambung atau duodenum,
- jaringan polip atau tumor,
- sesuatu yang menekan usus dari luar saluran pencernaan,
- penyempitan pada pembukaan antara lambung dan usus halus, atau
- pembengkakan atau perubahan pada usus halus.
Barium swallow merupakan pemeriksaan untuk mengetahui kondisi kesehatan saluran pencernaan atas. Bila Anda perlu menjalani pemeriksaan ini, berkonsultasilah kepada dokter untuk mendapatkan arahan yang tepat.
Tips pemeriksaan barium swallow
- Kenakan pakaian longgar yang mudah dilepas pasang.
- Lepaskan semua perhiasan sebelum menjalani prosedur.
- Pastikan untuk makan dan minum cukup pada malam sebelum memulai puasa tengah malam.
- Bersiap karena rasa barium yang kurang enak meski sudah dicampur rasa lainnya.
- Makanan tinggi serat, seperti apel, pisang, dan raspberry, dapat dikonsumsi setelah prosedur untuk mencegah sembelit.
Efek samping barium swallow
Setelah pemeriksaan, Anda mungkin dapat mengalami efek samping berikut.
- Masalah dengan buang air besar atau kesulitan kentut.
- Nyeri atau pembengkakan pada perut.
- Kotoran yang ukurannya lebih kecil dari biasanya.
- Demam.
- Cacat lahir apabila dilakukan saat hamil.
- Reaksi alergi atau sensitif terhadap obat-obatan, pewarna kontras, anestesi lokal, yodium, atau lateks.
- Konstipasi.
Hal yang harus diperhatikan sebelum pemeriksaan
Jika Anda memiliki kondisi medis khusus atau harus menjalani pemeriksaan tambahan, dokter mungkin akan memberikan arahan yang berbeda.
Sebelum menjalani prosedur, beritahu dokter apabila Anda pernah atau sedang mengalami:
- penyumbatan usus,
- kesulitan menelan,
- perforasi (pembentukan lubang) pada kerongkongan atau usus halus, atau
- sembelit parah.
Pemeriksaan barium swallow tidak boleh dilakukan jika Anda memiliki kondisi tersebut karena dapat memperparah kondisinya.
[embed-health-tool-bmr]