Beberapa orang lebih mengenal manfaat vitamin C untuk mencegah sariawan dan mencerahkan kulit, padahal perannya lebih dari itu. Tanpa asupan vitamin C yang cukup, Anda bahkan berisiko mengalami penyakit langka yang dikenal sebagai skorbut.
Beberapa orang lebih mengenal manfaat vitamin C untuk mencegah sariawan dan mencerahkan kulit, padahal perannya lebih dari itu. Tanpa asupan vitamin C yang cukup, Anda bahkan berisiko mengalami penyakit langka yang dikenal sebagai skorbut.

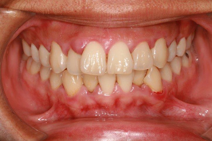
Skorbut adalah suatu penyakit langka akibat kekurangan vitamin C yang sangat parah. Penyakit ini dapat menyebabkan lesu dan kelemahan, penyakit gusi, anemia, hingga perdarahan melalui kulit.
Kekurangan vitamin C yang parah juga dapat menyebabkan pembengkakan dan nyeri pada beberapa bagian tubuh, terutama kaki.
Tidak jarang, kondisi yang dikenal juga dengan nama scurvy ini mengganggu fungsi sistem imun dan metabolisme kolesterol dalam tubuh.
Kasus scurvy pada zaman modern tergolong langka karena kebanyakan orang dapat memenuhi kebutuhan vitamin C dari makanan sehari-hari. Bahkan, orang yang jarang makan sehat pun belum tentu berisiko mengalaminya.
Skorbut biasanya baru terjadi ketika seseorang kekurangan vitamin C setidaknya selama tiga bulan. Mengutip DermNet NZ, di negara-negara berkembang, kekurangan vitamin C terjadi pada sekitar 10% perempuan dan 14% laki-laki.

Gejala skorbut bisa muncul dalam jangka waktu 8–12 minggu. Tanda-tanda awalnya yakni badan lesu dan letih, berat badan turun, serta menurunnya nafsu makan. Dalam 1–3 bulan ke depan, mungkin timbul gejala lain berupa:
Jika pasien tidak mendapatkan penanganan yang tepat, skorbut bisa bertambah parah dan menyebabkan hancurnya sel darah merah.
Pasien mungkin juga mengalami sakit kuning, perdarahan spontan, hingga kerusakan saraf.
Sebuah penelitian dalam Journal of Clinical Orthopaedics and Trauma juga melaporkan adanya perdarahan subperiosteal pada pasien skorbut. Perdarahan ini terjadi pada bagian ujung tulang-tulang panjang, seperti tulang paha.

Penyakit scurvy disebabkan oleh kurangnya asupan vitamin C. Tubuh manusia tidak dapat menghasilkan vitamin C sendiri, jadi Anda harus mencukupi kebutuhannya dari makanan sehari-hari.
Tanpa asupan vitamin C yang cukup, tubuh tidak dapat membentuk kolagen. Selain itu, kemampuan tubuh dalam membentuk hormon-hormon seperti dopamin, adrenalin, dan norepinefrin akan terganggu.
Jika tubuh tidak dapat membentuk kolagen yang cukup, berbagai jaringan di dalamnya akan mulai mengalami kerusakan.
Gusi menjadi lemah, rambut menjadi berlekuk-lekuk, dan darah mulai keluar dari pembuluh sehingga terjadi perdarahan.
Kekurangan vitamin C juga berdampak pada berbagai mekanisme tubuh. Fungsi sistem imun melemah sehingga Anda lebih mudah terserang penyakit.
Penyerapan zat besi pun menurun dan membuat Anda rentan mengalami anemia defisiensi besi.
Biasanya, skorbut lebih banyak terjadi pada orang-orang dengan kondisi berikut.

Dokter dapat mendiagnosis penyakit scurvy dengan pemeriksaan fisik dan tes darah untuk mengetahui kadar vitamin C dalam tubuh Anda.
Setelah itu, barulah dokter akan memberikan penanganan sesuai tingkat keparahan Anda.
Scurvy sebenarnya merupakan penyakit yang dapat ditangani dengan mudah melalui pola makan. Anda bisa mengatasinya dengan mengonsumsi makanan sumber vitamin C, terutama sayuran dan buah-buahan.
Namun, kekurangan vitamin C yang parah perlu ditangani dengan pemberian suplemen vitamin C secara oral atau melalui suntikan vitamin C. Dokter akan memberikan suplemen dalam dosis sebagai berikut.
Keluhan nyeri dan lesu akan mulai berkurang 24 jam setelah pengobatan. Sementara itu, gejala memar dan perdarahan akan berkurang dalam 1–2 minggu.
Pasien biasanya dapat pulih sepenuhnya setelah tiga bulan tanpa kekambuhan.
Skorbut merupakan penyakit akibat kurangnya asupan vitamin C. Anda bisa mencegah penyakit ini dengan mencukupi kebutuhan vitamin C dari makanan.
Asupan vitamin yang cukup akan membuat tubuh senantiasa sehat.
Catatan
Hello Sehat tidak menyediakan saran medis, diagnosis, atau perawatan. Selalu konsultasikan dengan ahli kesehatan profesional untuk mendapatkan jawaban dan penanganan masalah kesehatan Anda.
Scurvy (vitamin C deficiency) | DermNet NZ. (2021). Retrieved 15 December 2021, from https://dermnetnz.org/topics/scurvy
Scurvy: MedlinePlus Medical Encyclopedia. (2021). Retrieved 15 December 2021, from https://medlineplus.gov/ency/article/000355.htm
Scurvy. (2017). Retrieved 15 December 2021, from https://www.nhs.uk/conditions/scurvy/
Versi Terbaru
07/09/2023
Ditulis oleh Diah Ayu Lestari
Ditinjau secara medis oleh dr. Patricia Lukas Goentoro
Diperbarui oleh: Nanda Saputri
Ditinjau secara medis oleh
dr. Patricia Lukas Goentoro
General Practitioner · Rumah Sakit Universitas Indonesia (RSUI)