Embrio merupakan sel yang menjadi awal kehidupan janin di dalam rahim. Namun, ternyata tidak semua sel telur yang berhasil dibuahi dapat membentuk embrio. Dalam dunia medis, kondisi ini disebut blighted ovum. Simak ciri-ciri, penyebab, dan penanganannya berikut ini.
Apa itu blighted ovum?
Blighted ovum (BO) atau anembryonic pregnancy adalah kondisi ketika sel telur yang sudah dibuahi tidak berkembang menjadi embrio. Ini merupakan salah satu jenis keguguran dini.
Meski begitu, kantong kehamilan yang menjadi tempat menampung embrio tetap akan membesar. Inilah salah satu alasan mengapa blighted ovum kerap disebut hamil kosong.
Kantong itulah yang membuat tubuh tetap memproduksi hormon kehamilan meski embrio tidak berkembang.
Inilah mengapa wanita yang mengalami blighted ovum tetap bisa mendapatkan hasil positif saat melakukan tes kehamilan.
Tanda dan gejala blighted ovum

Karena tubuh tetap menghasilkan hormon kehamilan, banyak yang merasakan gejala hamil BO layaknya tanda awal kehamilan.
Berikut adalah beberapa gejala kehamilan yang dapat Anda rasakan meski kantong janin kosong.
- Terlambat haid.
- Payudara kencang.
- Mual dan muntah (morning sickness).
- Tes kehamilan positif.
Namun, gejala tersebut akan perlahan menghilang karena tidak ada embrio yang berkembang. Gejala kehamilan pun akan berubah menjadi tanda-tanda keguguran.
Gejala keguguran karena anembryonic pregnancy, seperti flek atau perdarahan melalui vagina serta kram di daerah panggul dan perut, umumnya muncul pada trimester pertama kehamilan.
Namun, beberapa orang mungkin menyadari gejala blighted ovum lebih awal, bahkan ketika belum menyadari adanya kehamilan. Karena itulah, blighted ovum juga sering disebut keguguran diam-diam.
Penyebab blighted ovum
Sampai saat ini, belum diketahui secara pasti apa penyebab anembryonic pregnancy. Namun, kondisi ini mungkin berkaitan dengan kelainan kromosom.
Mengutip laman Cleveland Clinic, hamil BO biasanya merupakan hasil dari masalah kromosom yang terjadi selama masa pembelahan sel.
Sel telur atau sperma mungkin memiliki kualitas yang buruk atau terjadi kesalahan acak pada proses pembelahan sel.
Tubuh ibu pun mengenali kromosom abnormal ini sehingga tidak mengembangkan sel telur dan sperma menjadi embrio.
Selain itu, beberapa faktor yang dapat meningkatkan risiko blighted ovum adalah:
- kerusakan DNA,
- gangguan endokrin,
- obesitas,
- infeksi saluran reproduksi,
- penggunaan beberapa jenis obat-obatan,
- konsumsi alkohol, dan
- penyakit autoimun.
Anembryonic pregnancy merupakan penyebab dari 50% keguguran yang terjadi pada trimester pertama kehamilan.
Diagnosis blighted ovum
Pemeriksaan kehamilan dengan test pack tidak bisa menjadi alat diagnosis anembryonic pregnancy. Pasalnya, hormon kehamilan masih bisa terdeteksi hingga beberapa waktu setelah keguguran terjadi.
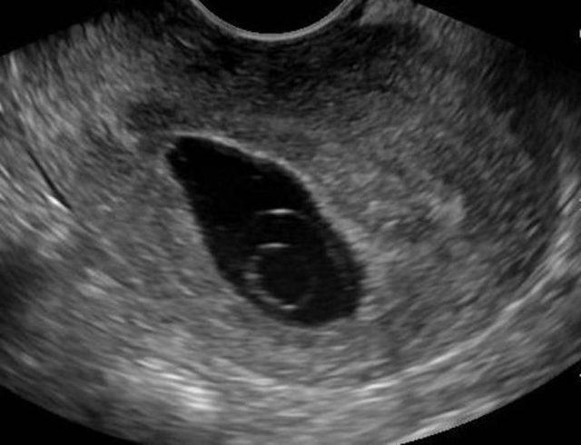
Karena itulah, Anda tetap membutuhkan pemeriksaan ultrasound (USG) untuk mendeteksi anembryonic pregnancy.
Untuk mendapatkan hasil yang lebih jelas, dokter mungkin mengusulkan pemeriksaan transvaginal ultrasound (USG melalui vagina).
Pemeriksaan untuk memastikan blighted ovum dengan USG umumnya dilakukan pada minggu ke 7–9 kehamilan karena saat inilah embrio seharusnya mulai terbentuk.
Pengobatan blighted ovum
Kantong kehamilan yang kosong harus dikeluarkan dari rahim karena kondisi ini bisa memicu perdarahan berat hingga infeksi.
Bila memungkinkan, dokter bisa mengizinkan Anda menunggu terjadinya keguguran alami. Namun, dokter umumnya menganjurkan cara berikut karena waktu tunggu bisa jadi berisiko.
1. Dilatasi dan kuretase
Kuret atau dilatasi dan kuretase dilakukan melalui pembedahan untuk mengeluarkan jaringan kehamilan di dalam rahim.
Selama proses kuret, pasien akan diberikan obat penenang atau anestesi total agar tidak merasakan sakit.
Perawatan ini juga bisa dilakukan untuk mengetahui penyebab utama keguguran dengan memeriksa jaringan yang diangkat dari rahim.
2. Obat-obatan
Misoprostol merupakan salah satu jenis obat yang kerap diberikan untuk mendorong terjadinya keguguran alami.
Pasien mungkin mengalami efek samping berupa kram dan sakit perut yang cukup lama usai mengonsumsi misoprostol.
Dibandingkan kuret, pengobatan anembryonic pregnancy dengan obat bisa menyebabkan perdarahan yang lebih berat.
Tindakan ini tetap harus dilakukan dalam pengawasan dokter untuk memastikan bahwa tidak ada jaringan yang tersisa di dalam rahim.
Pencegahan blighted ovum

Sebagian besar kasus anembryonic pregnancy tidak bisa dicegah. Oleh karena itu, penting untuk melakukan pemeriksaan kehamilan secara rutin untuk mengetahui perkembangan janin.
Jika Anda merasa khawatir dengan kondisi kehamilan Anda, berikut adalah beberapa tes skrining yang dapat Anda lakukan.
- Preimplantation Genetic Screening (PGS): analisis genetik embrio yang dapat dilakukan sebelum implantasi ke dalam rahim.
- Analisis semen: pemeriksaan kualitas sperma.
- Follicle-Stimulating Hormone (FSH) atau Anti-Mullerian Hormone (AMH): pengukuran kadar hormon untuk menentukan perlu-tidaknya tindakan untuk meningkatkan kualitas sel telur.
Selain itu, jangan lupa untuk menerapkan pola hidup sehat sebagai salah satu persiapan kehamilan.
Sebagian besar orang yang pernah mengalami blighted ovum tetap bisa hamil normal dan memiliki bayi yang sehat.
Namun, dokter mungkin menyarankan untuk menunggu setidaknya 1–3 kali siklus menstruasi sebelum mencoba hamil kembali usai keguguran.
Pertimbangkan untuk melakukan konsultasi tentang rencana kehamilan jika Anda mengalami blighted ovum atau jenis keguguran lain sebanyak tiga kali berturut-turut.
Kesimpulan
- Blighted ovum adalah kondisi ketika sel telur yang sudah dibuahi tidak berkembang menjadi embrio. Ini adalah penyebab sekitar 50% keguguran yang terjadi pada trimester pertama.
- Karena kantong kehamilan masih berkembang, wanita yang mengalami hamil BO mungkin tetap menunjukkan gejala kehamilan. Namun, gejala ini kemudian akan berubah menjadi tanda keguguran.
- Penyebabnya tidak diketahui secara pasti, tetapi telah dikaitkan dengan kelainan kromosom atau genetik.
- Kantong kehamilan yang kosong harus dikeluarkan, baik melalui konsumsi obat-obatan maupun prosedur kuret. Pasalnya, kantong kehamilan di dalam rahim bisa memicu infeksi.