Radang gusi alias gingivitis merupakan kondisi yang terlihat ringan, tapi perlu segera mendapat penanganan. Jika dibiarkan, kondisi ini dapat berujung pada komplikasi yang lebih parah, salah satunya trench mouth.
Seperti apa gejalanya? Bagaimana cara mengatasi kondisi ini?
Apa itu trench mouth?
Trench mouth adalah penyakit infeksi gusi yang dapat berkembang dengan cepat. Penyakit ini merupakan bentuk gingivitis parah yang menyebabkan rasa sakit, infeksi, dan perdarahan pada gusi.
Beberapa orang sering menyebut penyakit ini “mulut parit”. Sementara itu, dalam dunia medis, penyakit ini dikenal dengan gingivitis ulseratif nekrotikans (necrotizing ulcerative gingivitis/NUG).
NUG termasuk penyakit yang cukup langka. Kasusnya diperkirakan hanya sekitar 0,5% sampai 1% dari total populasi dunia.
Penyakit ini lebih umum ditemukan di wilayah dengan tingkat kebersihan yang buruk. Meski bisa menyerang segala usia, kasusnya lebih banyak dialami orang-orang berusia 18–30 tahun.
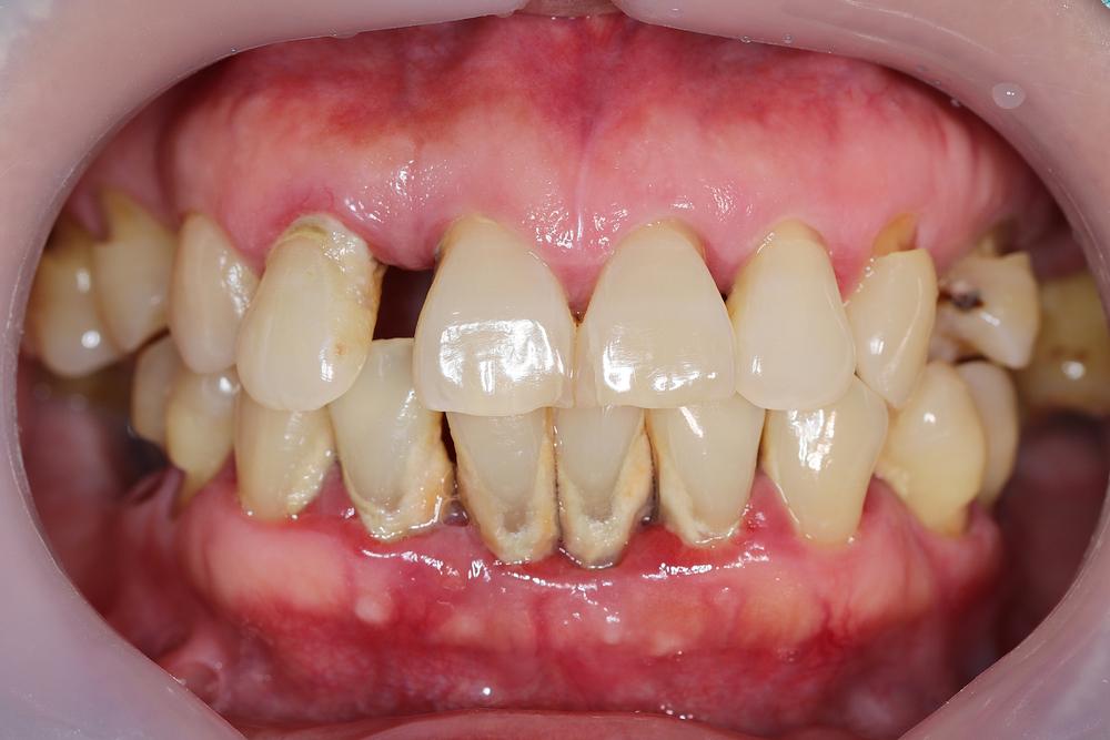
Tanda dan gejala trench mouth

Gejala khas trench mouth yaitu adanya gusi yang meradang parah disertai jaringan mati yang berbentuk kawah. Jaringan tersebut biasanya tertutup selaput berwarna keabuan.
Selain ciri khas tersebut, berikut tanda-tanda lainnya Anda mengalami mulut parit.
- Nyeri gusi parah.
- Perdarahan dari gusi saat ditekan walau hanya sedikit.
- Gusi bengkak atau memerah.
- Nyeri saat makan atau menelan.
- Muncul ulkus (luka) di antara gigi dan gusi.
- Rasa tidak sedap pada mulut.
- Bau mulut seperti logam.
- Demam dan kelelahan.
- Timbul pembengkakan kelenjar limfa di sekitar kepala, leher atau rahang.
Gejala di atas tidak selalu menjadi tanda NUG. Untuk mencari tahu penyebabnya, segera periksakan diri ke dokter jika Anda mengalaminya.
Penyebab trench mouth
Trench mouth disebabkan oleh penumpukan bakteri mulut di dalam gusi. Penumpukan bakteri ini terjadi akibat gingivitis yang tidak segera mendapatkan penanganan.
Kumpulan bakteri ini kemudian mulai menginfeksi gusi dengan lebih parah. Infeksi tersebut menimbulkan borok yang menyakitkan pada gusi dan jaringan sekitarnya.
Faktor risiko trench mouth
Umumnya, NUG lebih sering terjadi pada orang dengan kebersihan mulut dan gigi yang buruk. Namun, ada beberapa faktor lain yang juga dapat meningkatkan risiko penyakit ini.
Dikutip dari laman Cleveland Clinic, berikut beberapa di antaranya.
- Tidak menjaga kebersihan mulut dengan baik.
- Tidak memenuhi kebutuhan nutrisi yang baik.
- Kebiasaan merokok.
- Memiliki sistem kekebalan tubuh yang lemah.
- Memiliki infeksi pada tenggorokan, gigi, atau mulut.
- Mengalami stres emosional.
Diagnosis trench mouth
Diagnosis trench mouth dimulai dengan memeriksa keadaan mulut Anda. Tindakan ini bertujuan guna melihat adanya tanda-tanda penyakit.
Selain itu, Anda juga mungkin perlu menjalani pemeriksaan lanjutan yang akan mempermudah keputusan diagnosis dokter. Pemeriksaan dapat berupa rontgen gigi dan tes swab.
Rontgen gigi dilakukan untuk melihat keparahan infeksi dan banyaknya jaringan rusak. Sementara itu, tes swab merupakan pengambilan sampel lapisan gusi untuk diperiksa di laboratorium.
Cara mengatasi trench mouth

Beragam cara dapat dilakukan untuk mengatasi necrotizing ulcerative gingivitis. Pengobatan mungkin dapat berbeda pada tiap orang, tergantung tingkat keparahan dan gejala yang ditimbulkan.
Beberapa perawatan yang biasa dilakukan dokter meliputi:
- pengusapan untuk menghilangkan jaringan mati (selaput membran keabuan yang menutupi gusi),
- pemberian obat pereda nyeri, dan
- pemberian antibiotik bila penyakit telah menimbulkan demam atau pembengkakan kelenjar.
Lalu, dokter akan mengobati kondisi yang sudah ada sebelumnya, seperti radang gusi. Anda mungkin harus menjalani perawatan scaling gigi atau root planing dan berkumur dengan obat kumur antibakteri.
Setelahnya, Anda harus disiplin melanjutkan perawatan sehari-hari. Caranya sederhana, yaitu melakukan praktik kebersihan mulut seperti menggosok gigi dua kali sehari.
Cara mencegah trench mouth
Pencegahan penyakit mulut parit bisa dilakukan lewat tindakan sederhana. Hal yang terpenting dari upaya pencegahan ini yaitu menjaga kebersihan mulut dengan baik.
Berikut beberapa cara mengurangi risiko NUG.
- Berhenti merokok.
- Menyikat gigi dua kali sehari.
- Melakukan pembersihan sela-sela gigi dengan cara flossing.
- Berkumur dengan obat kumur antiseptik setelah sikat gigi.
- Rutin melakukan pembersihan gigi secara profesional oleh dokter gigi.
- Menerapkan pola makan sehat dengan banyak mengonsumsi buah dan sayur.
- Mengelola stres dengan melakukan hobi, mencoba meditasi, teknik pernapasan dalam, ataupun cara lainnya.
Cara di atas mungkin tidak sepenuhnya melindungi Anda dari mulut parit. Meski begitu, tidak ada salahnya melakukan upaya pencegahan daripada harus mengobatinya di kemudian hari.
Selain itu, jangan lupa melakukan pemeriksaan rutin ke dokter gigi. Pemeriksaan rutin berguna untuk mendeteksi dan mengobati penyakit sedini mungkin.
Serba-serbi seputar trench mouth
- Disebabkan oleh penumpukan bakteri mulut pada gusi yang kemudian menimbulkan infeksi dan borok.
- Memiliki gejala khas, yaitu adanya jaringan mati berbentuk kawah yang tertutup selaput berwarna keabuan.
- Cara mengatasinya mulai dari pengusapan untuk menghilangkan jaringan mati hingga pemberian obat.
- Bisa dicegah dengan memastikan kebersihan mulut tetap terjaga dan melakukan pemeriksaan rutin ke dokter gigi.