Gusi Anda terlihat menyusut sehingga gigi Anda tampak lebih panjang dan sensitif? Dalam dunia medis, kondisi ini disebut sebagai resesi gingiva atau resesi gusi. Simak gejala, penyebab, hingga penanganannya dalam pembahasan berikut ini.
Apa itu resesi gingiva?
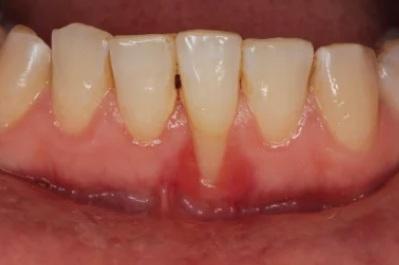
Resesi gingiva adalah kondisi ketika gusi mengalami penyusutan atau penurunan sehingga akar gigi terlihat lebih jelas.
Selain menimbulkan perubahan pada senyum, resesi gusi bisa membuat gigi menjadi lebih sensitif, perdarahan saat sikat gigi, hingga bau mulut yang sulit hilang.
Karena itulah resesi gusi perlu segera diatasi supaya tidak menimbulkan kondisi yang membuat Anda menjadi lebih tidak nyaman.
Tanda dan gejala resesi gusi

Selain akar gigi yang terlihat, berikut adalah gejala lain dari resesi gingiva.
- Gusi berdarah setelah sikat gigi atau flossing.
- Nyeri pada garis gusi.
- Gusi bengkak dan merah.
- Bau mulut.
- Peningkatan sensitivitas pada makanan dan minuman panas, dingin, atau manis.
- Gigi goyang.
Penyebab resesi gingiva
Berikut ini adalah beberapa kondisi yang bisa menyebabkan gusi menyusut atau menurun dari posisi normalnya.
1. Penyakit gusi
Penyebab paling umum dari resesi gingiva adalah penyakit gusi, seperti gingivitis dan periodontitis.
Penyakit yang terjadi akibat infeksi bakteri tersebut dapat menghancurkan jaringan gusi sehingga membuatnya menyusut atau turun.
2. Kebiasaan merokok
Tahukah Anda bahwa tembakau dalam rokok bisa mengurangi aliran darah ke jaringan gusi? Lama-kelamaan, kondisi ini bisa mempercepat kerusakan pada gusi.
Bahan kimia dalam rokok juga dapat menurunkan fungsi sel serta jaringan gusi. Kombinasi berbagai hal tersebut membuat perokok rentan mengalami resesi gingiva.
3. Menyikat gigi terlalu keras
Menyikat gigi terlalu keras dapat menimbulkan trauma kronis pada gusi. Jika dibiarkan, trauma tersebut bisa meningkatkan risiko gusi untuk turun ke bawah.
Secara umum, menyikat gigi terlalu keras juga dapat menyebabkan abrasi atau terkikisnya lapisan enamel dan membuat gigi jadi lebih sensitif.
4. Trauma oklusal
Trauma oklusal terjadi ketika gigi menerima tekanan berlebih atau tidak merata saat menggigit atau mengunyah.
Tekanan berlebih yang terjadi terus-menerus pada akhirnya bisa merusak ligamen dan tulang penyangga gigi sehingga gusi tertarik menjauh dari permukaan gigi.
5. Perubahan hormon
Fluktuasi kadar hormon, seperti saat masa puber, kehamilan, atau menopause, dapat meningkatkan sensitivitas gusi sehingga risiko resesi gingiva ikut meningkat.
Selain hormonal, faktor genetik dapat meningkatkan risiko masalah pada gusi, termasuk resesi gingiva.
6. Kebiasaan tertentu

Penggunaan sikat gigi, benang gigi, hingga obat kumur yang tidak tepat juga dapat meningkatkan risiko resesi gingiva. Hal serupa juga berlaku untuk kebiasaan menggertakkan gigi atau bruxism.
Kebersihan gigi yang tidak terjaga juga bisa meningkatkan risiko resesi gingiva. Pasalnya, plak bisa menumpuk, mengeras menjadi karang gigi, dan membuat gusi merosot seiring waktu.
Diagnosis resesi gusi
Langkah awal yang akan dilakukan dokter untuk mendiagnosis resesi gingiva adalah memeriksa kondisi gigi dan gusi Anda.
Dokter akan mengukur tingkat resesi menggunakan alat yang disebut probe periodontal. Bila perlu, dokter mungkin mengukur kantong periodontal di sekitar gigi.
Mengutip Cleveland Clinic, kantong periodontal yang sehat umumnya berukuran 1–3 mm. Gangguan gusi bisa membuat ukurannya membesar.
Dari hasil diagnosis, resesi gusi bisa dibedakan menjadi beberapa jenis berikut.
- Resesi lokal bentuk V: umumnya disebabkan oleh bruxism dan ditandai dengan kerusakan kecil di leher gusi (abfraksi) serta pengikisan di atas gigi.
- Resesi lokal bentuk U: umumnya disebabkan oleh cara sikat gigi yang salah, disertai dengan pembengkakan dan peradangan di area akar gigi.
- Resesi umum atau horizontal: umumnya disebabkan oleh penyakit periodontitis, khususnya peradangan pada jaringan penyangga gigi.
Dokter spesialis periodonsia bisa menjadi pilihan tepat jika Anda ingin berkonsultasi terkait resesi gingiva.
Pengobatan untuk resesi gingiva
Perawatan yang diberikan untuk pasien resesi gingiva bisa beragam, tergantung pada penyebab dan tingkat keparahannya.
Kasus resesi gusi ringan biasanya diatasi dengan pemberian antibiotik, dental bonding, atau perawatan ortodontik.
Sementara itu, kasus yang lebih berat mungkin perlu ditangani dengan operasi. Berikut adalah penjelasan dari tiap jenis perawatan resesi gingiva.
1. Antibiotik topikal
Sebelum memberikan antibiotik topikal, dokter akan melakukan scaling terlebih dulu dan mungkin melakukan perawatan akar.
Dokter akan mengoleskan antibiotik langsung pada gusi yang terinfeksi untuk menghentikan pertumbuhan bakteri sesegera mungkin.
2. Bonding gigi
Dokter bisa menutup area gusi yang turun dengan bonding gigi. Ini adalah perawatan yang dilakukan dengan mengoleskan resin komposit pada area yang surut.
Dengan begitu, akar gigi akan tertutup sehingga sensitivitas gigi Anda berkurang dan estetikanya kembali.
3. Perawatan ortodontik

Jika gusi turun akibat gigi bengkok, miring, atau tidak rata, dokter mungkin menyarankan Anda untuk melakukan perawatan ortodontik.
Pemasangan behel merupakan salah satu perawatan yang bisa dilakukan untuk mengatasi berbagai kondisi tersebut. Bentuk gigi yang ideal akan ikut menjaga kesehatan gusi Anda.
4. Cangkok gusi
Dokter juga bisa merekomendasikan cangkok gusi untuk mengatasi resesi gingiva. Material cangkok gusi bisa diambil dari langit-langit mulut atau jaringan donor yang sudah disterilkan.
Tujuan cangkok gusi adalah meningkatkan kesehatan gusi, melindungi gigi, dan meningkatkan estetika. Perawatan ini juga kerap direkomendasikan bagi orang yang memiliki gummy smile.
Sejauh ini, cara terbaik untuk mencegah gusi turun adalah dengan menjaga kebersihan gigi dan mulut serta rutin melakukan pemeriksaan ke dokter gigi.
Pemeriksaan rutin bisa membantu dokter mengidentifikasi berbagai permasalahan gigi dan mulut yang sering kali tidak bergejala.
Kesimpulan
- Resesi gingiva adalah kondisi ketika gusi mengalami penyusutan atau turun dari posisinya sehingga membuat akar gigi terlihat.
- Resesi gusi bisa disebabkan oleh penyakit gusi, kebiasaan merokok, sikat gigi terlalu keras, trauma oklusal, perubahan hormonal, hingga perawatan gigi yang kurang tepat.
- Beberapa kasus gusi turun bisa diatasi dengan antibiotik topikal, bonding gigi, atau perawatan ortodontik. Dokter juga bisa menganjurkan cangkok gusi untuk menutup gusi yang turun.