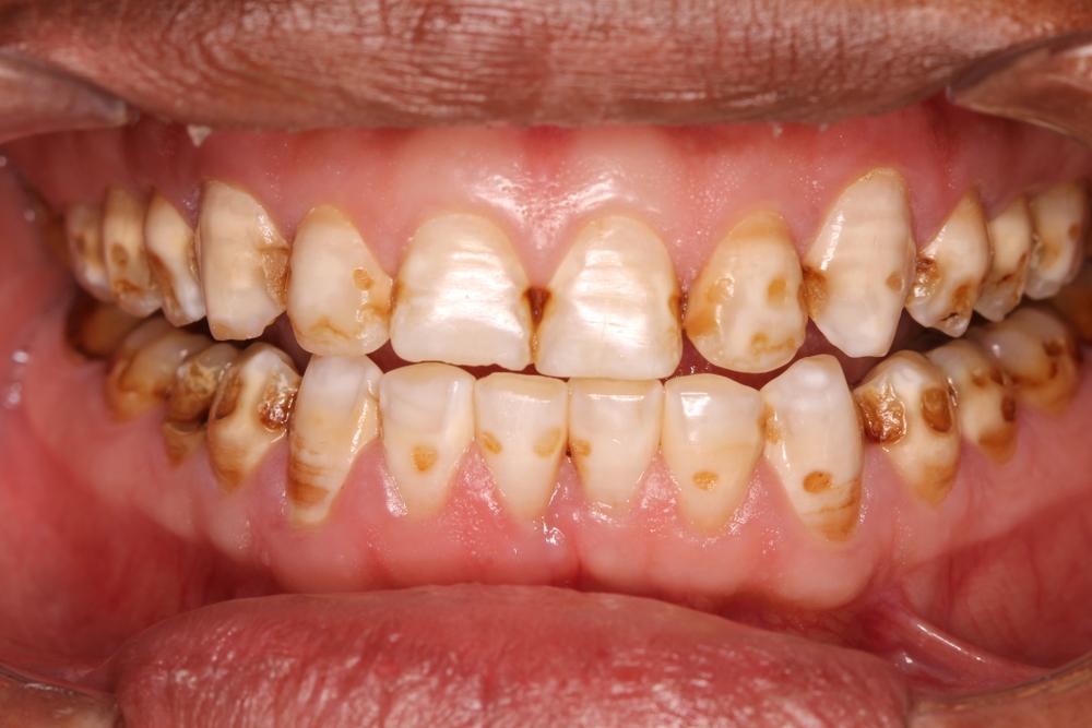
Jika dibiarkan saja, kebiasaan menggertakkan atau menggesekkan gigi dapat membawa kerusakan. Lama-kelamaan, lapisan gigi akan terkikis. Dalam istilah medis, kondisi ini disebut dengan atrisi gigi.
Namun, apa yang membedakan atrisi dengan masalah gigi dan mulut lainnya? Cari tahu jawabannya melalui artikel berikut!
Apa itu atrisi gigi?

Atrisi gigi adalah pengikisan lapisan gigi karena gesekan berlebih antara gigi bagian atas dan bawah.
Pengikisan ini umumnya terjadi pada bagian oklusal dan insisal gigi. Keduanya merupakan area pada ujung gigi yang paling sering mengalami gesekan.
Lain halnya dengan abrasi atau erosi gigi, kondisi ini tidak berkaitan dengan pengikisan oleh makanan.
Pengikisan karena atrisi gigi umumnya hanya terjadi pada lapisan enamel dan tidak mencapai struktur gigi di bawahnya.
Pengikisan juga tidak dapat mencapai akar gigi karena ada lapisan dentin yang melindungi bagian dalam gigi.
Namun, pada kondisi yang parah, atrisi dapat menghancurkan email dan menyebabkan dentin terbuka. Kerusakan pada dentin akan membuat gigi lebih sensitif dan meningkatkan risiko masalah gigi lainnya.
Berdasarkan penelitian dalam Journal of Dentistry (2017), atrisi pada gigi merupakan salah satu penyebab utama berbagai kerusakan gigi.
Kondisi ini bisa menimpa siapa saja. Namun, kasusnya lebih banyak ditemukan pada laki-laki. Selain itu, lansia juga berpotensi lebih besar mengalami kondisi ini karena penggunaan gigi yang sudah lama.
Gejala atrisi gigi
Sama seperti permasalahan gigi lainnya, atrisi juga menimbulkan beberapa gejala yang mungkin membuat Anda merasa tidak nyaman.
Berikut bebreapa di antaranya.
- Gigi lebih sensitif karena hilangnya lapisan enamel.
- Mahkota gigi terlihat rata.
- Perubahan warna gigi karena enamel terkikis.
- Gusi yang sakit atau iritasi.
- Sakit di bagian rahang.
- Gigi goyang, baik hanya satu atau beberapa gigi.
Penyebab atrisi gigi

Penyebab atrisi gigi berbeda dengan abrasi gigi dan erosi gigi. Abrasi gigi terjadi akibat tingkat asam yang berlebih di dalam mulut, sedangkan erosi gigi disebabkan oleh kebiasaan mengunyah makanan yang terlalu keras.
Sementara itu, berikut merupakan berbagai faktor yang dapat menyebabkan atrisi gigi.
1. Bruxism
Anda mungkin secara tidak sengaja sering menggertakkan gigi secara berulang. Kondisi ini disebut bruxism dan lebih sering terjadi saat seseorang tidur.
Selain menyebabkan pengikisan gigi, bruxism yang terjadi saat terlelap juga memungkinkan Anda mengalami gangguan tidur lainnya, seperti sleep apnea.
2. Mulut kering
Bukan hanya menjadi sumber penyakit, mulut kering rupanya juga mempercepat keausan gigi. Pelumasan gigi dengan air liur berperan penting dalam mengurangi gesekan yang terjadi.























