Penyalahgunaan sabu dapat menimbulkan kerusakan pada berbagai bagian tubuh, termasuk gigi dan mulut. Bahkan, ada suatu efek sabu pada mulut dan gigi yang dikenal sebagai meth mouth alias “mulut nyabu“. Apa itu?
Definisi meth mouth
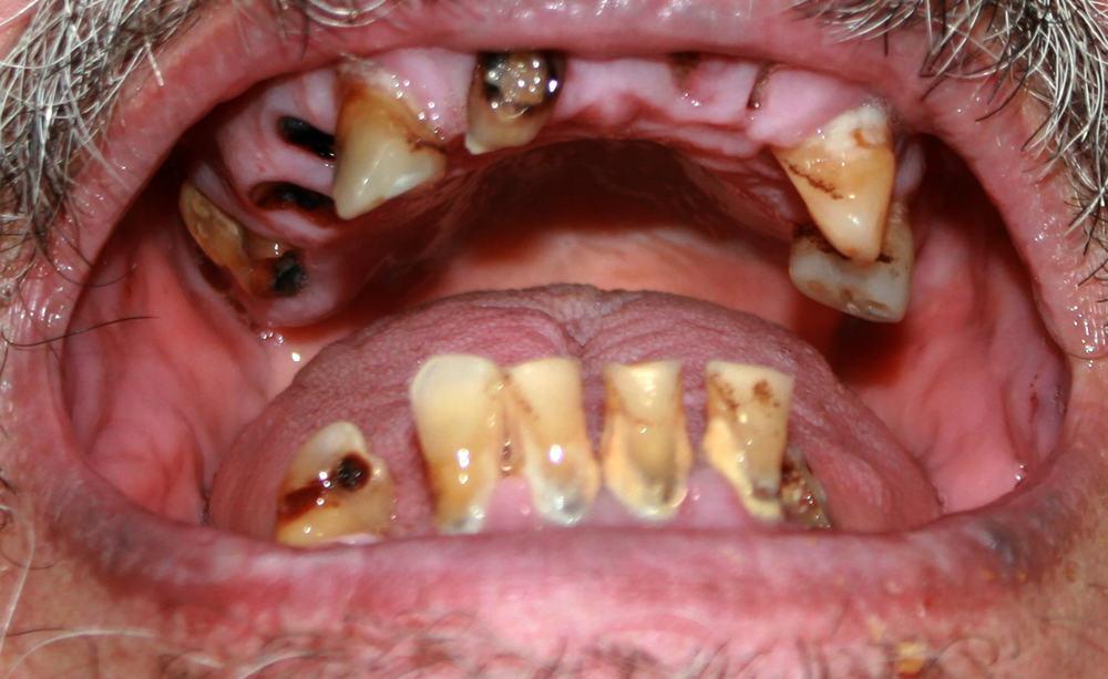
Meth mouth adalah kerusakan gigi dan mulut akibat penggunaan sabu atau metamfetamina secara ilegal. Ini merupakan salah satu efek yang tergolong parah dari penyalahgunaan sabu.
Gigi yang rusak akibat penyalahgunaan sabu sering kali harus dicabut karena kondisinya sudah terlalu parah dan tidak bisa ditangani.
Selain merusak gigi, penyalahgunaan sabu telah dikaitkan dengan gangguan pernapasan, tekanan darah tinggi, hingga kerusakan otak permanen.
Sabu sendiri merupakan obat psikostimulan yang sangat adiktif, mirip dengan amfetamina. Penggunaan obat ini memberikan efek euforia yang kuat.
Karena efeknya yang kuat, metamfetamina menjadi jenis narkoba peringkat dua yang paling sering dikonsumsi setelah ganja.
Dosis dan overdosis metamfetamina

Ketika diresepkan secara legal oleh dokter, metamfetamina umumnya diberikan dalam kisaran 2,5–10 mg per hari dengan dosis maksimum 60 mg sehari.
Jika digunakan dengan tepat dan di bawah pengawasan penuh oleh dokter, metamfetamina memang bisa memberikan manfaat.
Sementara itu, penggunaan sabu secara ilegal bisa menimbulkan berbagai dampak buruk, termasuk meth mouth.
Tanda dan gejala meth mouth
Mengutip laman Mouth Healthy, gigi orang yang kecanduan metamfetamina biasanya akan menghitam, bernoda, membusuk, hancur, sampai akhirnya tanggal atau copot.
Sebuah studi terbitan The Journal of the American Dental Association (2015) yang melibatkan 572 pengguna metamfetamina menunjukkan hasil berikut.
- 96% memiliki gigi berlubang.
- 58% mengalami kerusakan gigi akibat obat sabu terlarang.
- 31% kehilangan setidaknya enam buah gigi.
Beberapa pecandu sabu mungkin tidak menunjukkan kondisi di atas. Jika Anda memiliki kekhawatiran tertentu terkait gejala meth mouth, konsultasikanlah dengan dokter Anda.
Penyebab meth mouth
Berikut adalah beberapa alasan mengapa metamfetamina dapat menyebabkan mulut nyabu.
- Sifat sabu yang asam sehingga dapat mengganggu keseimbangan pH mulut.
- Kemampuan obat untuk mengurangi produksi air liur sehingga menyebabkan mulut kering.
- Efek obat yang menciptakan hasrat untuk minum minuman berkarbonasi berkalori tinggi.
- Kecenderungan pengguna obat untuk melakukan bruxism atau kebiasaan menggertakkan gigi.
Kombinasi berbagai faktor tersebut akan membuat bakteri berkembangbiak dengan lebih mudah. Belum lagi, efek sabu bisa bertahan cukup lama, yaitu sekitar 12 jam.
Ketika berada dalam pengaruh obat-obatan, seseorang cenderung tidak peduli pada kebersihan tubuhnya, termasuk kebersihan gigi dan mulut.
Itu artinya, sabu yang digunakan dengan cara diisap, diendus, disuntikkan, maupun dikonsumsi dalam bentuk pil akan meningkatkan risiko kerusakan gigi.
Pengobatan meth mouth

Seperti kerusakan gigi pada umumnya, pengobatan meth mouth akan disesuaikan dengan kondisi pasien. Akan tetapi, sebagian besar kasus mulut nyabu umumnya berakhir dengan pencabutan gigi.
Di samping itu, seseorang yang mengalami kondisi ini harus menghentikan penggunaan obat-obatan terlarang yang merupakan penyebab utamanya.
Umumnya, pengguna narkoba akan menerima perawatan dengan metode rehabilitasi dari tenaga profesional. Dalam proses perawatan ini, mereka membutuhkan dukungan moral supaya bisa menjalaninya dengan baik.
Rehabilitasi diharapkan bisa menghentikan penggunaan obat-obatan dan mencegah mereka untuk melakukan hal serupa sehingga tidak merasakan berbagai dampak buruknya, termasuk meth mouth.
Setelah menjalani rehabilitasi dan berhenti menggunakan obat-obatan terlarang, pasien juga harus menjaga kebersihan mulut mereka.
Pasien harus rajin menyikat gigi secara teratur, menggunakan benang gigi, dan mengunjungi dokter gigi setidaknya enam bulan sekali.
Pencegahan kerusakan gigi karena sabu
Karena disebabkan oleh penyalahgunaan sabu, cara terbaik untuk mencegah meth mouth adalah menghindari penggunaan sabu.
Meth mouth adalah bagian kecil dari efek samping penggunaan sabu pada mulut dan gigi. Pada kasus yang lebih buruk, pecandu sabu berisiko mengalami kerusakan otak dan bahkan kematian.
Selain itu, jangan lupa untuk menjaga kebersihan gigi dan mulut Anda. Pasalnya, kerusakan serupa bisa terjadi bila Anda tidak membersihkan gigi dengan baik dan benar.
Kesimpulan
- Meth mouth adalah kerusakan gigi yang cukup parah akibat penggunaan sabu atau metamfetamina secara ilegal.
- Sebagian besar pecandu sabu akan mengalami gigi berlubang dan tidak sedikit pula yang sampai tanggal.
- Karena disebabkan oleh penyalahgunaan sabu, pengobatan kerusakan gigi ini harus disertai dengan rehabilitasi.























