Hipoplasia enamel (enamel hypoplasia) merupakan kondisi yang sering kali tidak disadari, tetapi dapat berdampak besar pada kesehatan gigi. Cari tahu lebih lanjut apa gejala, penyebab, hingga penanganannya di bawah ini!
Apa itu hipoplasia enamel?
Hipoplasia enamel adalah kondisi kelainan pertumbuhan pada lapisan enamel, yaitu bagian terluar dan terkeras dari struktur gigi.
Saat enamel tidak berkembang sempurna, permukaan gigi menjadi tidak rata, tipis, atau berlubang. Akibatnya, gigi menjadi rentan terhadap kerusakan, perubahan warna, dan sensitivitas.
Enamel, atau disebut juga email gigi, terbentuk selama masa pertumbuhan gigi, terutama pada fase bayi dan anak-anak. Jika pada tahap ini tubuh mengalami gangguan, enamel tidak dapat berkembang dengan optimal.
Dilansir dari Cleveland Clinic, kerusakan enamel gigi satu ini cukup sering terjadi. Di negara berkembang, kondisi ini dialami sekitar 1 dari 700 orang.
Namun, angka ini belum mencakup semua kemungkinan penyakit atau faktor lingkungan lain yang bisa mengganggu pembentukan enamel gigi secara normal.
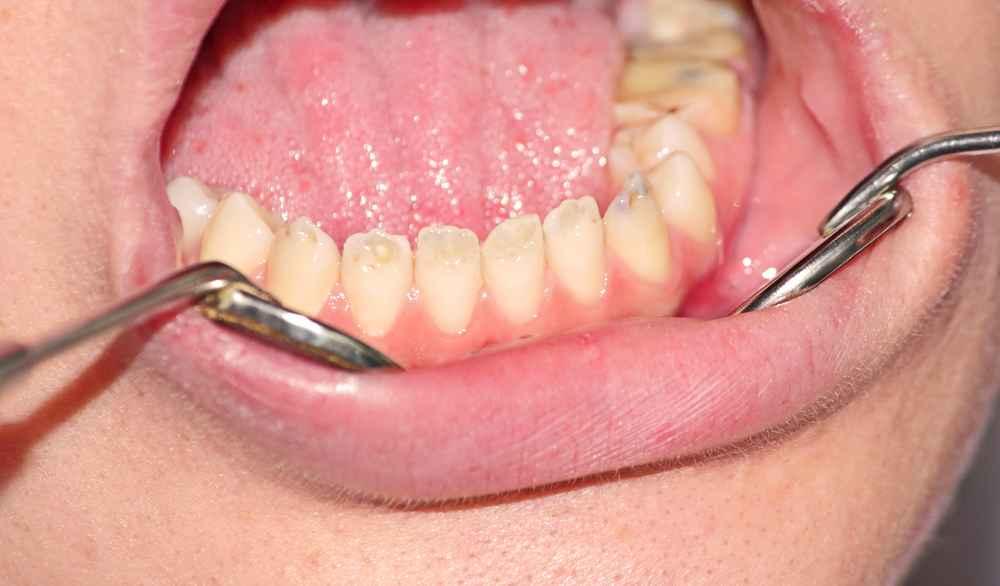
Gejala hipoplasia enamel

Gejala hipoplasia enamel gigi bisa terlihat sejak dini, bahkan saat gigi susu mulai tumbuh. Ciri-cirinya sangat khas dan bisa dikenali tanpa alat medis canggih.
Namun, karena kurangnya pengetahuan masyarakat, gejala ini sering diabaikan hingga kondisi memburuk.
Berikut beberapa gejala yang perlu diwaspadai.
- Bercak putih atau cokelat pada gigi.
- Permukaan gigi yang tidak rata atau berlubang.
- Sensitivitas terhadap suhu atau makanan manis.
- Gigi mudah patah atau aus.
- Perubahan bentuk atau ukuran gigi.
Jika Anda melihat satu atau lebih gejala di atas pada gigi anak Anda, sebaiknya segera konsultasikan ke dokter gigi anak untuk pemeriksaan lebih lanjut.
Penanganan sejak dini sangat penting agar tidak berkembang menjadi kerusakan enamel gigi yang parah.
Apa penyebab hipoplasia email?
Kondisi ini bisa disebabkan oleh berbagai faktor, baik dari dalam tubuh maupun faktor eksternal. Maka dari itu, memahami penyebabnya akan membantu dalam pencegahan.
1. Faktor genetik
Beberapa kondisi genetik langka bisa menyebabkan hipoplasia enamel gigi. Hal ini terjadi ketika seseorang mewarisi suatu gen dari salah satu atau kedua orang tuanya.
Gen tersebut menyebabkan enamel menjadi terlalu tipis atau bahkan tidak terbentuk sama sekali. Kondisi ini umumnya sudah dikenali sejak usia dini, dan sering kali memerlukan penanganan jangka panjang.
Beberapa kondisi genetik yang dapat menyebabkan hipoplasia enamel adalah:
- amelogenesis imperfecta,
- DiGeorge syndrome,
- Ellis-van Creveld syndrome,
- Heimler syndrome,
- Otodental syndrome,
- Seckel syndrome,
- Treacher Collins syndrome, dan
- Usher syndrome.
Kondisi-kondisi tersebut bisa menjadi penyebab utama enamel hypolasia meskipun jarang. Bila ditemukan riwayat penyakit genetik dalam keluarga, pemeriksaan sejak dini menjadi langkah yang sangat penting.
2. Faktor lingkungan
Selain faktor genetik, ada juga faktor eksternal atau lingkungan yang dapat mengganggu perkembangan enamel gigi, baik sebelum lahir maupun setelah lahir.
Faktor-faktor ini bisa bersifat sementara, tetapi tetap memberikan dampak permanen pada pembentukan enamel.
Beberapa kondisi yang terjadi selama kehamilan dapat memengaruhi pembentukan gigi susu pada janin, misalnya:
- diabetes gestasional (diabetes selama kehamilan)
- kekurangan vitamin D,
- kurangnya akses terhadap perawatan prenatal, dan
- kebiasaan merokok.
Faktor-faktor ini dapat membuat enamel gigi bayi tidak terbentuk dengan optimal, bahkan sebelum ia lahir.
Selain itu, setelah lahir, ada beberapa faktor yang dapat memengaruhi perkembangan enamel hypoplasia. Berikut adalah beberapa di antaranya.
- Cedera pada gigi atau rahang saat gigi sedang tumbuh.
- Kekurangan vitamin penting, terutama vitamin A, C, dan D.
- Kekurangan asupan kalsium.
- Infeksi virus atau bakteri yang serius.
- Penyakit kronis, seperti penyakit hati, cerebral palsy, dan penyakit celiac.
Diagnosis hipoplasia enamel

Mendiagnosis hipoplasia enamel tidak selalu memerlukan tes yang rumit. Namun, diperlukan pemeriksaan menyeluruh oleh dokter gigi untuk memastikan penyebab dan tingkat keparahannya.
Metode diagnosis yang umum dilakukan adalah:
- pemeriksaan visual,
- rontgen gigi (dental X-ray),
- wawancara riwayat medis anak dan ibu saat kehamilan,
- pemeriksaan struktur enamel menggunakan alat khusus, dan
- pemeriksaan lanjutan bila diduga ada kelainan genetik.
Komplikasi hipoplasia enamel
Jika dibiarkan tanpa penanganan, hipoplasia enamel dapat menimbulkan berbagai komplikasi yang memengaruhi kesehatan dan kualitas hidup anak.
Enamel yang tidak sempurna membuat gigi rentan terhadap infeksi dan kerusakan permanen. Komplikasinya antara lain:
- gigi berlubang (karies gigi),
- erosi gigi,
- gigitan tidak rata (maloklusi)
- sensitivitas dan rasa sakit yang parah, dan
- gangguan psikologis dan rasa tidak percaya diri.
Bila Anda mengalami gejala atau komplikasi seperti di atas, sebaiknya segera konsultasikan ke dokter gigi untuk mendapatkan penanganan yang sesuai.
Cara mengatasi hipoplasia enamel
Meski kondisi ini tidak bisa disembuhkan total, ada berbagai cara untuk mengatasi dan meminimalkan dampaknya.
Perawatan bertujuan untuk memperbaiki fungsi gigi, mencegah komplikasi, dan meningkatkan kenyamanan anak dalam menjalani aktivitas sehari-hari.
1. Penguatan enamel
Casein phosphopeptide amorphous calcium phosphate (CPP-ACP) digunakan untuk menambah mineral pada enamel gigi.
Zat ini membantu menguatkan enamel yang lemah dan mencegah kerusakan lebih lanjut. Biasanya diberikan dalam bentuk pasta atau gel yang dioleskan langsung pada gigi secara berkala.
2. Perawatan estetika dan restoratif
Jika kerusakan pada enamel sudah cukup terlihat atau menyebabkan ketidaknyamanan, dokter gigi bisa melakukan perawatan estetika.
Beberapa jenis perawatan yang dapat dilakukan yaitu dental bonding, dental veneers, dan dental crowns.
3. Perbaikan struktur gigi
Bila struktur gigi rusak atau aus akibat enamel hypoplasia, dokter biasanya akan menyarankan perawatan dental fillings untuk memperbaikinya.
Dental fillings adalah metode pengisian bagian gigi yang berlubang atau patah dengan bahan khusus, seperti resin composite yang dapat menyamarkan bercak putih pada gigi yang menjadi ciri khas hipoplasia enamel.
4. Pemutihan dan penghalusan permukaan gigi
Untuk memperbaiki penampilan gigi akibat hipoplasia enamel, dokter gigi dapat melakukan enamel microabrasion atau whitening.
Enamel microabrasion dapat menghilangkan noda kuning atau cokelat di permukaan enamel. Sementara itu, whitening bertujuan mencerahkan warna gigi dan menyamarkan bercak putih.
Penting untuk berkonsultasi dengan dokter gigi sebelum memilih jenis perawatan. Setiap prosedur memiliki kelebihan dan risiko yang perlu dipertimbangkan.
Kesimpulan
- Hipoplasia enamel adalah kondisi kelainan pertumbuhan pada lapisan enamel, yaitu bagian terluar dan terkeras dari struktur gigi.
- Gejala enamel hypoplasia antara lain adanya bercak putih atau cokelat pada gigi, permukaan gigi yang tidak rata, sensitivitas terhadap suhu atau makanan manis, dan gigi mudah patah.
- Kondisi ini dapat diatasi dengan penguatan enamel, perawatan estetika dan restoratif, perbaikan struktur gigi, serta pemutihan dan penghalusan permukaan gigi.