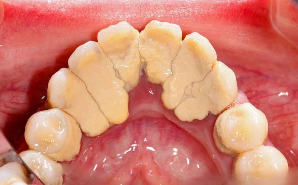
Teksturnya yang keras membuat karang gigi tidak bisa dibersihkan hanya dengan sikat gigi sehingga Anda membutuhkan scaling. Lantas, bagaimana jika Anda tidak pernah melakukan scaling? Apakah karang gigi berbahaya jika tidak dibersihkan dan dibiarkan terus menumpuk? Simak jawabannya berikut ini.
Apakah karang gigi berbahaya jika tidak dibersihkan?
Meski beberapa orang mungkin tidak merasakan masalah tertentu akibat karang gigi, lapisan keras yang juga disebut dental calculus ini sebenarnya menjadi tempat sempurna untuk tumbuhnya bakteri.
Karena itulah, karang gigi yang tidak dibersihkan berisiko menciptakan bahaya baru seperti berikut.
1. Radang gusi atau gingivitis

Meski awalnya menempel pada gigi, bakteri dari dental calculus bisa menyebar sampai ke gusi sehingga menyebabkan gingivitis.
Gingivitis, atau peradangan pada gusi, biasanya ditandai dengan gusi bengkak, nyeri yang intens dan tajam, serta gusi mudah berdarah.
Gingivitis bisa bertambah parah jika Anda memiliki kebiasaan merokok, kurang air minum, atau kekurangan vitamin C.
2. Bau mulut
Bakteri yang menumpuk di dalam karang gigi akan berkembang biak dan menghasilkan senyawa sulfur. Senyawa inilah yang kemudian menimbulkan bau mulut atau halitosis.
Beberapa orang mungkin baru menyadari bahwa karang gigi perlu dibersihkan setelah mencium bau mulut yang tidak sedap. Halitosis biasanya juga meninggalkan sensasi tidak nyaman di mulut.
3. Periodontitis
Jika peradangan pada gusi dibiarkan, infeksi bisa menyebar ke tulang dan jaringan penyangga gigi lainnya. Kondisi yang disebut periodontitis ini akan membuat gusi Anda sakit bahkan ketika disentuh.
Karena jaringan penyangga sudah terdampak, gusi mungkin menyusut sehingga membuat gigi terlihat lebih panjang. Lama-kelamaan, gigi pun bisa goyang dan tanggal.
4. Gigi berlubang
Senyawa sulfur yang dihasilkan oleh bakteri di dalam karang gigi ternyata juga bisa merusak lapisan enamel. Jika dibiarkan, kondisi ini bisa berujung pada karies atau gigi berlubang.
Kerusakan yang awalnya berasal dari enamel bisa terus berlanjut sampai akhirnya menyerang sementum atau jaringan keras yang mengikat akar gigi dengan rahang.
5. Peningkatan risiko penyakit jantung
Bakteri dan mikroorganisme dari karang gigi bisa masuk ke aliran darah, kemudian terbawa ke dalam jantung. Dalam jangka panjang, hal ini bisa mengganggu kinerja jantung.
Pada sebuah studi terbitan Journal of the American Heart Association (2023), kebersihan gigi yang tidak terjaga bisa meningkatkan risiko gagal jantung pada pasien diabetes tipe dua.
Jadi, jika Anda belum pernah membersihkan karang gigi, sekarang bisa jadi waktu yang tepat untuk menjadwalkan kunjungan ke dokter gigi.
Cara mencegah bahaya karang gigi yang sudah parah
Anda mungkin pernah mendengar bahwa baking soda atau garam bisa membersihkan karang gigi, tetapi efektivitas cara ini sebenarnya belum terbukti.
Maka dari situ, satu-satunya cara untuk menghilangkan karang gigi hingga tuntas adalah melalui scaling dengan dokter gigi.
Untuk hasil yang benar-benar efektif, berikut prosedur yang direkomendasikan oleh para ahli.
1. Scaling

Dental scaling merupakan prosedur untuk membersihkan karang gigi menggunakan alat yang disebut ultrasonic scaler.
Alat ini akan menghasilkan getaran untuk menghancurkan karang gigi yang keras, bahkan sampai ke bagian garis gusi yang sulit dijangkau bulu sikat.
Anda mungkin merasa nyeri atau mengalami pembengkakan setelah scaling gigi, tetapi kondisi ini biasanya akan membaik dengan sendirinya.
Pada dasarnya, scaling disarankan untuk dilakukan enam bulan sekali tanpa perlu menunggu penumpukan karang gigi yang sudah parah.
2. Perawatan rumahan
Untuk mendukung hasil scaling dan mencegah terbentuknya karang gigi, Anda bisa melakukan beberapa upaya berikut.
- Sikat gigi dua kali sehari dengan benar menggunakan pasta gigi yang mengandung fluoride.
- Bersihkan sisa makanan di sela gigi menggunakan dental floss atau benang gigi.
- Bersihkan lidah.
- Ganti sikat gigi setidaknya tiga bulan sekali atau ketika bulu sikatnya sudah rusak.
- Gunakan obat kumur.
- Berhenti merokok dan bijak dalam memilih makanan.
- Banyak minum air putih.
Apakah karang gigi berbahaya jika dibiarkan? Ya, tetapi karang gigi sebenarnya masih bisa diatasi dengan perawatan sederhana bersama dokter gigi.
Oleh karena itu, jangan lupa mengunjungi dokter gigi secara rutin sebelum kondisi ini menyebabkan masalah lain yang membutuhkan perawatan lanjutan.
Kesimpulan
- Apakah karang gigi berbahaya? Jika segera dibersihkan melalui scaling, karang gigi tidak akan menyebabkan masalah gigi dan mulut yang lebih buruk.
- Jika dibiarkan, karang gigi bisa menyebabkan radang gusi, bau mulut, periodontitis, gigi berlubang, hingga meningkatkan risiko penyakit jantung.
- Karang gigi tidak bisa dibersihkan hanya dengan sikat gigi sehingga perlu scaling. Setelah itu, Anda perlu menjaga kebersihkan gigi dengan baik agar karang gigi tidak terbentuk kembali.