Masalah pada gigi tidak selalu ditandai dengan plak kuning atau hitam, tetapi juga noda putih alias white spot. Karena warnanya yang tidak terlalu mengganggu penampilan gigi, white spot pada gigi sering kali diabaikan. Padahal, kondisi ini merupakan tanda awal kerusakan gigi yang perlu segera ditangani.
Apa itu white spot pada gigi?
White spot adalah bercak putih pada gigi yang menandakan bahwa enamel gigi mengalami demineralisasi. Demineralisasi sendiri adalah hilang atau berkurangnya kandungan mineral pada lapisan enamel gigi.
Noda putih pada gigi yang juga disebut white spot lesion ini biasanya tidak menimbulkan nyeri, tetapi bisa berkembang menjadi kerusakan gigi serius jika dibiarkan.
Pasalnya, kalsium, fosfor, magnesium, dan mineral lain pada lapisan enamel dibutuhkan untuk melindungi gigi dari kerusakan dan membuatnya lebih kuat.
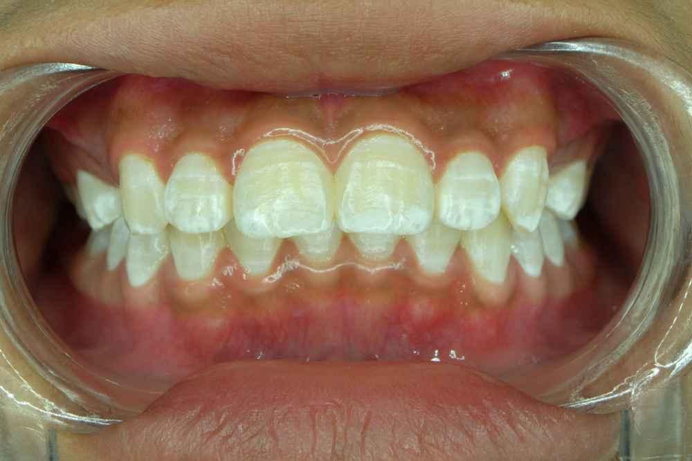
Ciri-ciri white spot pada gigi

Mengenali bercak putih pada enamel gigi sebenarnya terbilang mudah. Bercak ini memiliki warna yang lebih putih dari gigi Anda dan tidak akan hilang ketika Anda berusaha membersihkannya.
Area gigi yang terdapat bercak biasanya terasa lebih kasar atau tidak rata. White spot bisa muncul pada semua area gigi, baik itu di bagian depan maupun belakang.
Lama-kelamaan, Anda mungkin melihat bintik hitam pada bercak tersebut yang sekaligus menjadi tanda bahwa kerusakan gigi sudah semakin parah.
Di situlah white spot menjadi penyebab sakit gigi sekaligus alasan di balik meningkatnya sensitivitas gigi terhadap makanan serta minuman panas atau dingin.
Apa perbedaan white spot dan karies?
Penyebab white spot pada gigi
Penyebab white spot pada gigi adalah demineralisasi pada enamel. Berikut adalah berbagai faktor yang dapat menyebabkan demineralisasi.
- Kebersihan gigi dan mulut yang kurang terjaga.
- Konsumsi makanan dan minuman manis yang berlebihan. Gula adalah sumber energi bagi bakteri yang kemudian memproduksi asam. Asam inilah yang akan mengikis lapisan gigi Anda.
- Konsumsi makanan dan minuman yang asam, seperti minuman bersoda serta minuman berenergi.
- Perawatan ortodontik, khususnya behel karena kawat gigi mungkin membuat beberapa orang kesulitan membersihkan giginya secara menyeluruh.
- Hipoplasia enamel, yaitu kondisi ketika enamel tidak berkembang secara sempurna.
- Mulut kering karena berkurangnya air liur sehingga mengurangi kemampuan alami mulut untuk menetralkan asam dan melindungi enamel.
Adanya satu atau beberapa kondisi di atas tidak langsung membuat Anda memiliki white spot pada gigi, tetapi risikonya bisa menjadi lebih besar.
Cara mengatasi white spot
Apakah white spot bisa hilang? Bisa, tetapi tergantung penyebab dan tingkat keparahannya. Ada bercak putih yang bisa hilang sendiri atau dengan perawatan tertentu.
Akan tetapi, ada juga kasus yang perlu diatasi dengan perawatan yang lebih intensif. Berikut adalah beberapa perawatan yang bisa diberikan oleh dokter gigi.
1. Fluoride varnish

Untuk memperkuat lapisan gigi sekaligus membantu proses remineralisasi, dokter mungkin menyarankan perawatan dengan fluoride varnish.
Ini adalah perawatan yang dilakukan dengan cara mengoleskan gel fluoride pada bagian gigi dengan bercak putih.
Cara ini cocok untuk mengatasi bercak putih pada enamel gigi yang masih ringan dan bisa teratasi dengan proses remineralisasi alami gigi.
Tak jarang, dokter akan memberikan pasta gigi atau obat kumur khusus dengan kandungan fluoride demi memaksimalkan hasil perawatan.
2. Resin infiltration
Infiltrasi resin dilakukan dengan cara menutup bercak putih dengan resin khusus. Dengan perawatan ini, penampilan gigi Anda bisa kembali seperti semula dan risiko karies ikut berkurang.
Berbeda dengan veneer, resin infiltration cocok untuk kerusakan permukaan gigi skala kecil dan tidak akan merusak lapisan gigi yang sehat. Metode ini mungkin dikombinasikan dengan fluoride varnish.
3. Casein phosphopeptide-amorphous calcium phosphate (CPP-ACP)
Berdasarkan studi yang diterbitkan dalam BMC Oral Health (2024), perawatan lain yang bisa dilakukan untuk mengatasi white spot adalah casein phosphopeptide-amorphous calcium phosphate (CPP-ACP).
CPP-ACP adalah bahan yang mengandung kalsium, fosfat, serta kasein (protein susu) sehingga cukup efektif untuk mengembalikan mineral penting pada gigi dan memperkuat enamel.
CPP-ACP mungkin diberikan dalam bentuk pasta gigi atau pelapis, layaknya fluoride varnish.
4. Tambal gigi
Untuk kasus bercak putih yang sudah menyebabkan gigi berlubang, dokter perlu melakukan penambalan.
Pertama-tama, dokter akan membersihkan gigi berlubang. Anda mungkin menerima anestesi lokal untuk mengurangi rasa sakit.
Setelah itu, dokter bisa melakukan penambalan dengan bahan tertentu, seperti resin komposit atau semen ionomer kaca (SIK) yang warnanya disesuaikan gigi Anda.
Kesimpulan
- White spot lesion adalah bercak putih pada gigi yang terbentuk akibat demineralisasi pada enamel. Jika dibiarkan, kondisi ini bisa menyebabkan karies.
- Permukaan gigi yang memiliki noda putih biasanya terasa lebih kasar atau tidak rata.
- Kondisi ini bisa disebabkan oleh kebersihan gigi yang tidak terjaga, perawatan behel, hipoplasia enamel, hingga mulut kering.
- White spot bisa diatasi dengan fluoride varnish, resin infiltration, CPP-ACP, hingga penambalan. Perawatan akan disesuaikan dengan tingkat kerusakan.























