Gigi Anda terasa ngilu padahal tidak berlubang? Kondisi ini mungkin disebabkan oleh abrasi gigi.
Tak hanya menimbulkan ketidaknyamanan, abrasi gigi sering kali mengganggu rasa percaya diri. Simak informasi berikut ini untuk mengetahui gejala dan cara mengatasinya.
Apa itu abrasi gigi?
Abrasi gigi adalah terkikisnya lapisan enamel karena gesekan atau tekanan benda asing yang terlalu kuat.
Beberapa penyebabnya adalah kebiasaan menyikat gigi yang kasar, mengunyah pulpen, membuka tutup botol dengan gigi, atau gesekan gigi dengan benda lain.
Mengutip laman Online Dental Programs, abrasi biasanya terjadi di area gigi yang dekat dengan gusi, bukan di permukaan atas gigi.
Masalah ini lebih sering terjadi pada gigi geraham depan (premolar) serta gigi taring.
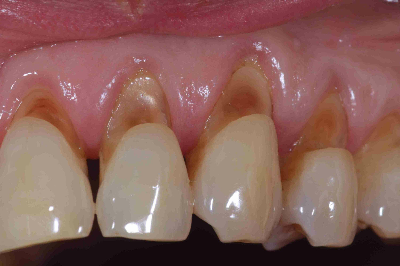
Ciri-ciri abrasi gigi

Gigi yang terkikis biasanya akan berwarna lebih kuning dan mengilat dibandingkan gigi lainnya. Gigi tersebut biasanya membentuk pola menyerupai huruf V.
Selain itu, abrasi bisa membuat gigi jadi lebih sensitif. Pasalnya, abrasi yang mengikis lapisan enamel akan membuat lapisan di bawahnya lebih mudah menerima rangsangan dari makanan atau minuman.
Gigi biasanya terasa ngilu ketika Anda mengonsumsi makanan yang terlalu panas, dingin, atau asam.
Jika dibiarkan, abrasi gigi bisa mengikis lapisan yang lebih dalam dan menimbulkan masalah gigi yang lebih parah, seperti gigi berlubang dan penyakit gusi.
Penyebab abrasi gigi
Meski dikenal sebagai salah satu bagian tubuh yang keras dan kuat, gigi tetap bisa terkikis jika terus-menerus menerima tekanan atau gesekan.
Berikut adalah beberapa kebiasaan yang secara tidak sadar bisa menjadi penyebab abrasi gigi.
- Menggunakan sikat gigi berbulu keras.
- Menyikat gigi terlalu keras dan dengan posisi yang kurang tepat.
- Menggunakan pasta gigi yang bersifat abrasif. Pasta gigi dengan charcoal atau arang aktif dinilai lebih abrasif.
- Memiliki kebiasaan menggunakan tusuk gigi setiap kali habis makan.
- Memiliki kebiasaan buruk, seperti membuka tutup botol dengan gigi, mengunyah es batu, menggigit ujung pensil, atau mengunyah daun sirih.
- Menggunakan kawat gigi dengan daya cengkram yang terlalu kuat.
- Memasang tindik di area bibir atau lidah.
- Memiliki kebiasaan menggertakkan gigi secara tidak sadar atau bruxism.
- Menggunakan gigi palsu atau retainer yang bentuknya tidak sesuai dengan rahang.
Cara mengatasi abrasi gigi
Sebelum memberikan perawatan, dokter akan melakukan pemeriksaan untuk mengetahui sejauh mana gigi Anda telah terkikis.
Setelah melakukan pemeriksaan, berikut adalah beberapa perawatan yang mungkin diberikan.
1. Perawatan dengan dokter
Apabila lapisan yang terkikis tidak terlalu dalam, dokter mungkin menyarankan Anda untuk tambal gigi. Selain mengembalikan bentuk gigi seperti semula, cara ini melindungi lapisan gigi yang lebih dalam.
Jika pengikisan sudah terlalu dalam, dokter mungkin menganjurkan pemasangan mahkota gigi untuk memperbaiki enamel.
Sementara itu, pengguna behel, retainer, atau gigi palsu mungkin perlu mendapatkan perawatan tambahan untuk memastikan bahwa peralatan tersebut sesuai dengan rahang Anda.
2. Menghentikan kebiasaan buruk

Berikut adalah kebiasaan buruk yang bisa merusak gigi sehingga perlu dihentikan untuk mengatasi sekaligus mencegah abrasi.
- Melepas tutup botol dengan gigi.
- Menggunakan tusuk gigi terlalu sering.
- Menggertakkan gigi dengan sengaja. Jika Anda punya bruxism, pertimbangkan untuk menggunakan mouth guard.
- Memasang tindik pada lidah atau mulut.
Sebagai gantinya, Anda bisa menggunakan benang gigi untuk membersihkan sisa makanan di sela-sela gigi.
3. Menerapkan kebiasaan sikat gigi yang benar
Selain memperhatikan teknik, pastikan Anda memilih sikat gigi dengan bulu halus dan menggunakan pasta gigi yang mengandung fluoride.
Di samping itu, jangan menyikat gigi terburu-buru dan terlalu kasar. Menekan sikat gigi terlalu kencang tidak menjamin bahwa gigi Anda pasti bersih dari sisa makanan.
Demi mendukung perawatan gigi dari dokter, pastikan Anda selalu menjaga kebersihan gigi dan mulut setiap hari. Kebiasaan ini tidak hanya membantu mengatasi abrasi, tetapi juga mencegahnya.
Selain itu, jangan lupa untuk periksa ke dokter gigi setiap enam bulan sekali meskipun tidak memiliki keluhan tertentu terkait gigi Anda.
Ini merupakan langkah pencegahan untuk berbagai kerusakan gigi yang sering kali tidak disadari.
Kesimpulan
- Abrasi gigi adalah terkikisnya lapisan enamel di dekat gusi karena gesekan atau tekanan dari benda asing.
- Ditandai dengan gigi menguning dengan bentuk menyerupai huruf V.
- Bisa disebabkan oleh penggunaan sikat gigi yang terlalu kuat, menggunakan pasta gigi yang bersifat abrasif, dan melakukan kebiasaan yang bisa merusak gigi.
- Pengobatan akan disesuaikan dengan tingkat keparahan abrasi. Beberapa kasus mungkin bisa diatasi dengan tambal gigi, sedangkan yang lain perlu melakukan pemasangan mahkota gigi.























